外傷歯の治療症例
症例1




| 項目 | 詳細 |
|---|---|
| 患者様データ | 30代 女性 |
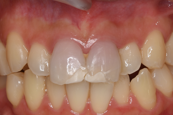
| 来院時の主訴 | 「昔、転倒して歯が欠けたところの治療したい。」 |
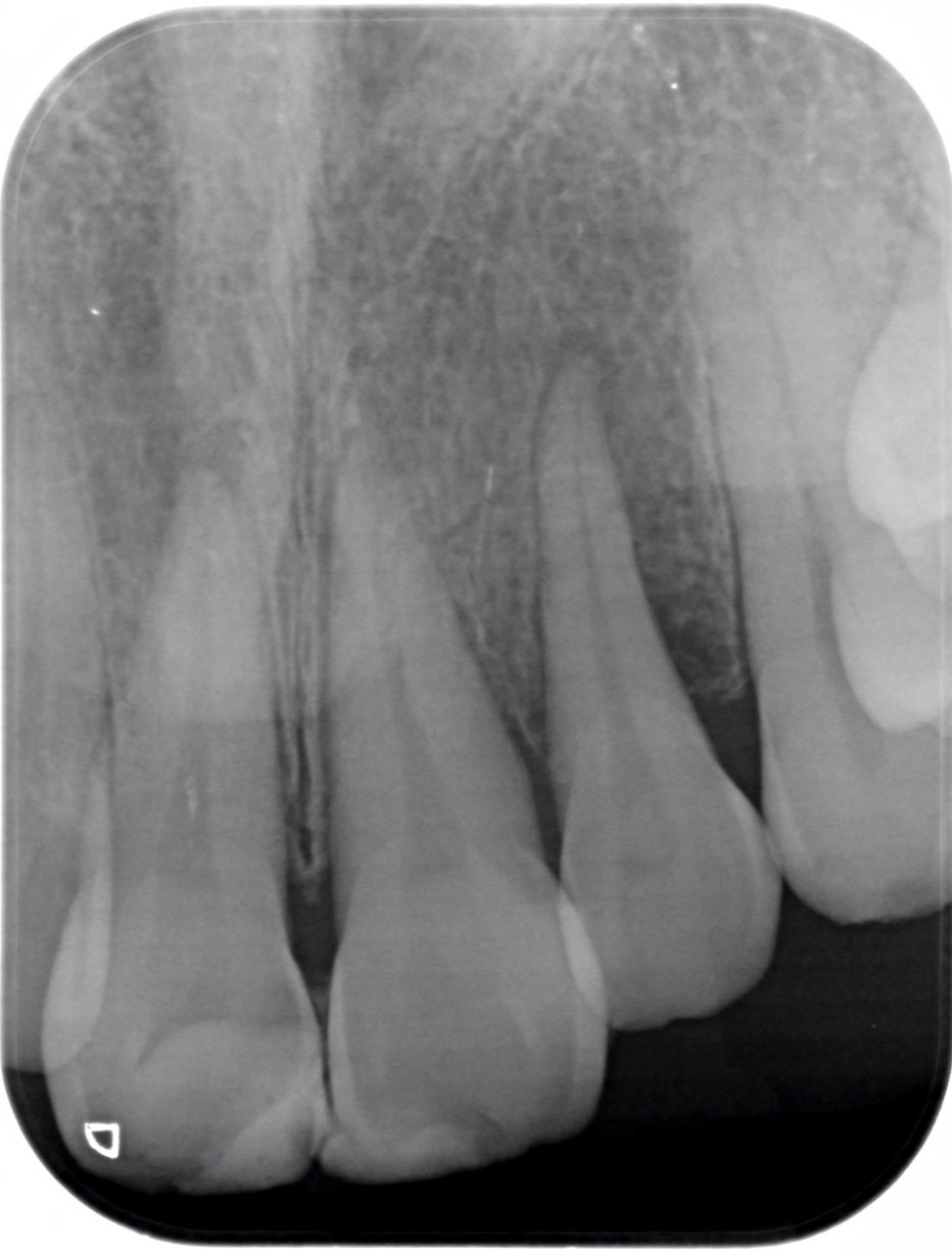
| 医院の診断 | 外傷による歯の亀裂、慢性根尖性歯周炎 |
| 通院期間 |
9か月 |
| 来院回数 | 7回 |
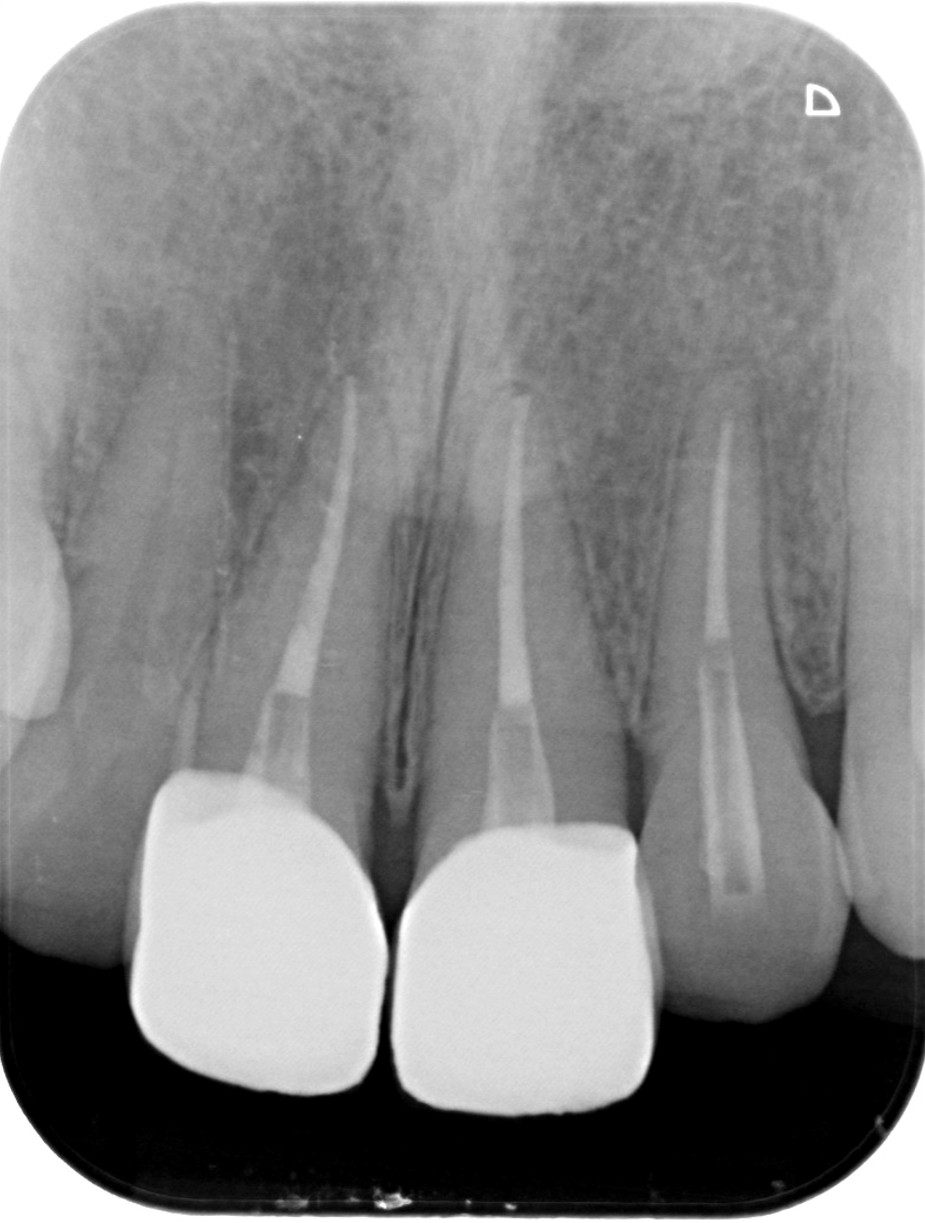
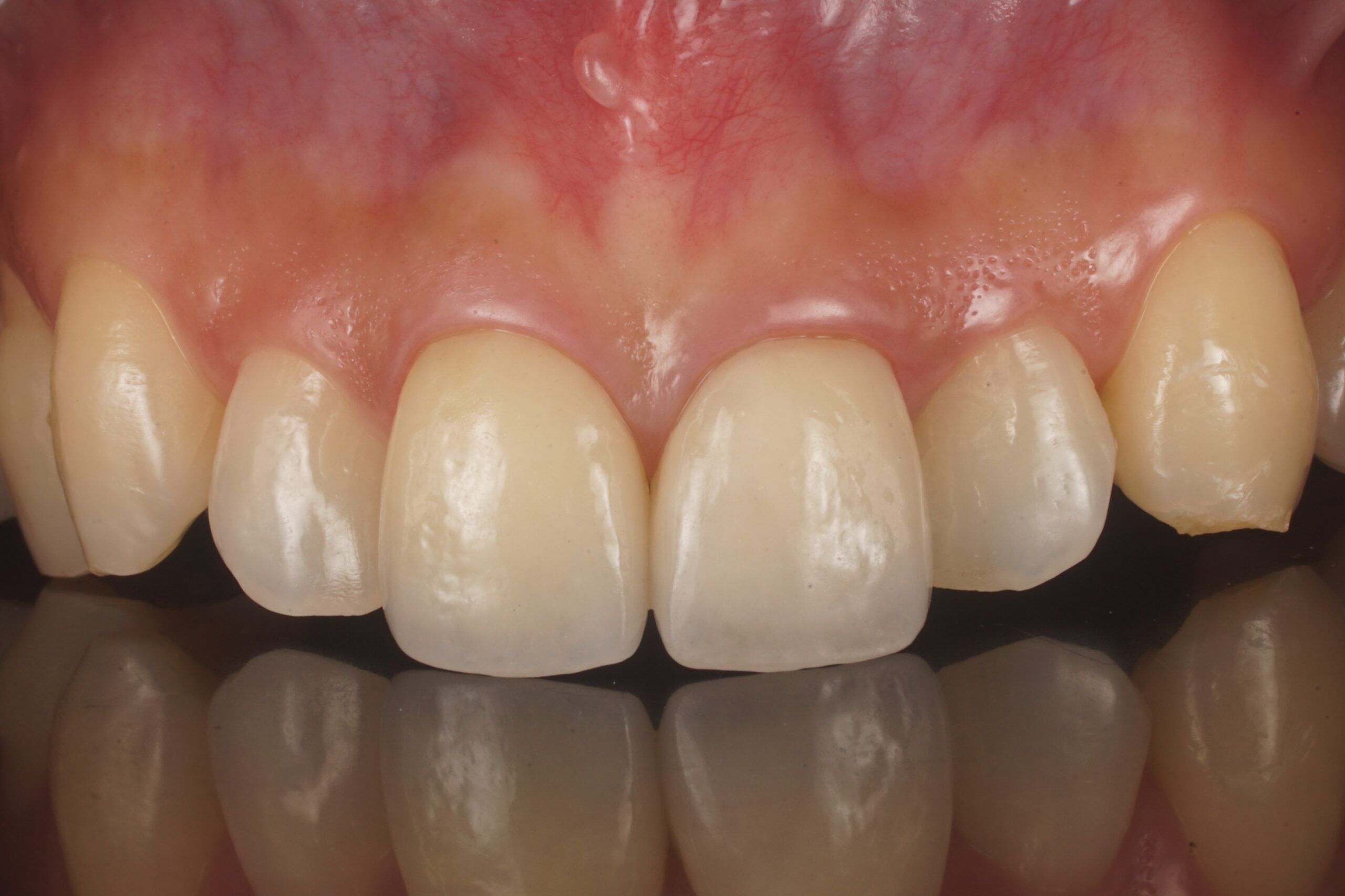
| 治療費 | 総額:560,000円(税抜) 【内訳】 精密根管治療60,000円(前歯)×3、ファイバーポストコア20,000円×3、セラミック治療160,000円×2 |
| リスクと副作用 | ①根管治療歯は長期的には破折するリスク ②長期的なメインテナンスが必要 ③歯根の外部吸収 |
| ここがこだわりのポイント!☝ | 外傷で歯の神経が壊死しており、変色歯になっていたので、丁寧に根管治療を行ってからセラミックにて審美性の回復を行なっています。 |
