入れ歯が痛い・合わないなどのお悩みがある方へ
下記のようなお悩みがある場合、当院にご相談ください!
- 入れ歯を噛むと痛み、違和感がある
- かみ合わせが悪い感じがする
- 金属バネの見た目がストレスになっている
- 初めての入れ歯でどの入れ歯を選択すればいいか分からない
- 入れ歯を調整したい
- 場合によっては、インプラントを検討している
合わない入れ歯を放置していると、口腔内全体のバランスが崩れて他の健康な歯にも悪影響が及びます。早期に歯科医院へ相談し、入れ歯の作り直しなどを行いましょう。また、入れ歯の見た目や噛み心地に満足していない方は、インプラント治療も検討することをおすすめします。インプラント治療の知識・経験が豊富な歯科医師が在籍していますので、患者様に合ったご提案が可能です。
入れ歯の種類
保険入れ歯
保険の入れ歯は、入れ歯の土台部分である床と人工歯が歯科用プラスチックでできています。保険の部分入れ歯の場合は留め具の部分が金属製のものになります。保険適応なので比較的費用を抑えることができます。一方で、床の強度を保つために厚みが必要になるので、装着時や食事の際に違和感を感じやすいです。また、保険の入れ歯は見た目が目立ちやすいというデメリットがあります。
金属床義歯
金属床義歯は床の部分が金属でできている入れ歯です。金属は強度があるため床を薄く作ることができ、装着時の違和感や不快感を覚えにくいです。また金属床は熱伝導性に優れているので、食べ物や飲み物の温度をしっかり感じることができ、食事を天然歯の時と同じように楽しむことができます。また、汚れやニオイも付きにくいので入れ歯を清潔に保ちやすいです。
ノンクラスプデンチャー
ノンクラスプデンチャーとは、周囲の歯に引っ掛ける留め具の部分が金属ではなく、ピンク色の生体用シリコンでできた部分入れ歯です。ノンクラスプデンチャーは柔軟性があるので、歯茎にフィットしやすく装着時の違和感が少ないです。また、弾力性があるため曲げても割れてしまう心配がなく、耐久性にも優れています。ノンクラスプデンチャーは金属アレルギーの方も安心して使用することができます。現在使用している部分入れ歯の見た目が気になる方は、ノンクラスプデンチャーにすることでお悩みを解消できる可能性があります。歯の欠損状態によっては適応できない場合もありますが、まずはお気軽にご相談ください。
マグネットデンチャー
歯の根の部分に取り付けた磁性アタッチメントのプレートと、入れ歯に埋め込んだ磁石の磁力で入れ歯を固定します。マグネットデンチャーは安定性があるので、入れ歯がずれにくく、食事の際もしっかり噛むことができます。また、マグネットデンチャーは一般的な入れ歯よりも着脱が簡単にしやすいです。
インプラントオーバーデンチャー
顎の骨に2〜4本の小さなインプラントを埋め込み、そこに入れ歯を固定する方法です。インプラントは顎の骨にしっかり固定されているため安定性があり、入れ歯がずれにくく、食事の際も天然歯の時と同じように噛むことができます。インプラントオーバーデンチャーはご自身で取り外しができるので、ご自宅でのお手入れがしやすいです。
入れ歯治療後も定期検診を行いましょう!
「入れ歯が合わない」「噛むと痛みがある」「硬いものが噛めない」「入れ歯がすぐにズレてしまう」「見た目の違和感」などのお悩みはありませんか?当院では、患者様一人ひとりのお口の状態を細かく診断し、丁寧なカウンセリングでお悩みやご要望を伺い、患者様が快適に過ごすことができるオーダーメイドの入れ歯をご提供いたします。また、入れ歯を快適に使用し続けるためには、作製後の定期検診が欠かせません。お口の状態は日々変化していきますので、定期的にお口と入れ歯の状態をチェックし、微調整と適切なケアを行うことが大切です。合わない入れ歯を無理に使用していると、かみ合わせがズレるおそれや口腔トラブルを引き起こすおそれがあります。使用している入れ歯に違和感や痛み、お悩みがありましたらすぐにご相談ください。
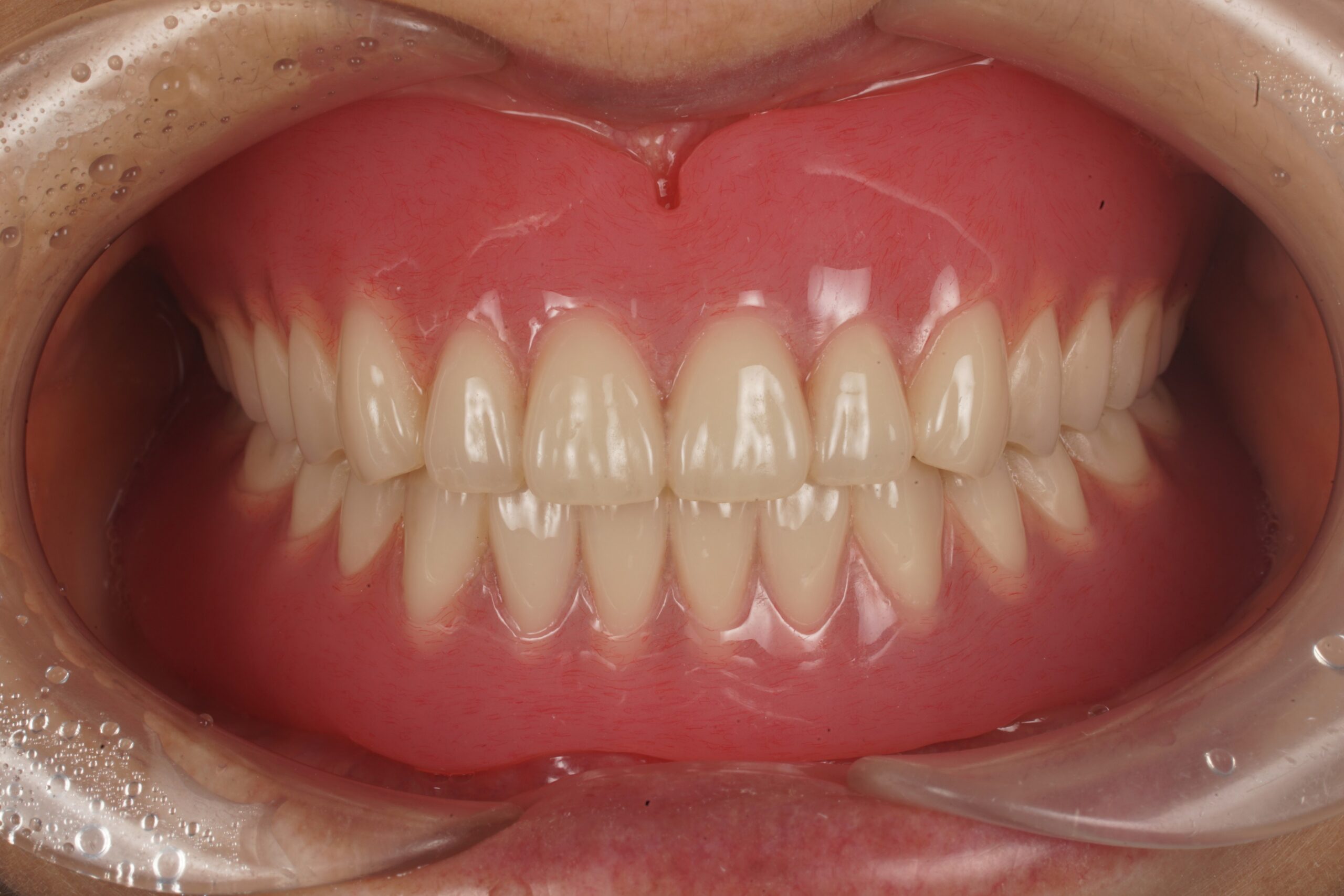
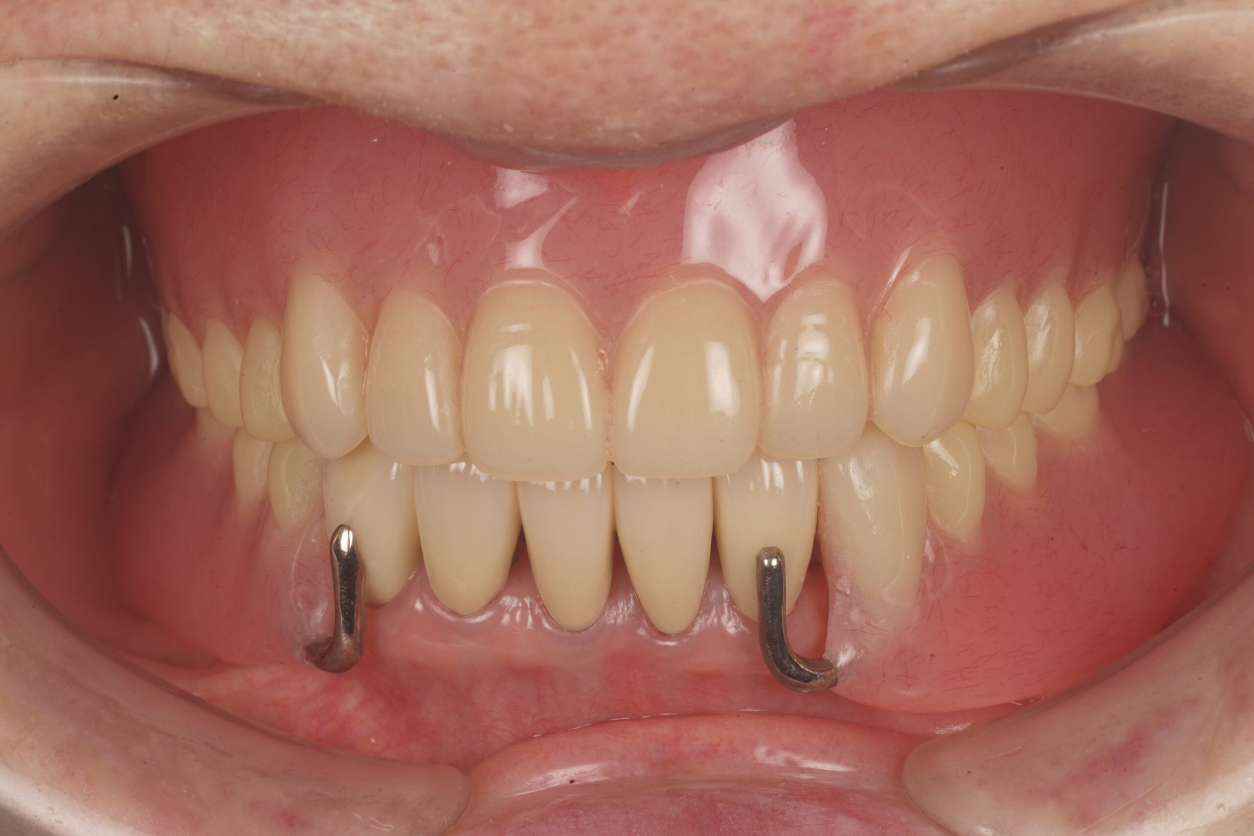
入れ歯の症例
症例1






| 項目 | 詳細 |
|---|---|
| 患者様データ | 82歳 女性 |
| 来院時の主訴 | 「入れ歯が外れないようにしたい。」 |
| 医院の診断 | 義歯不適合による咀嚼不良・口腔機能低下 |
| 通院期間 | 4ヶ月 |
| 来院回数 | 6回 |
| 治療費 | 総額:750,000円(税抜) 【内訳】 上顎金属床総義歯:350,000円 |
| リスクと副作用 | 定期的なメンテナンスが必要 |
| ここがこだわりのポイント!☝ | 食事中に外れることがない義歯になり、患者様に大変満足していただきました。 |
症例2


| 項目 | 詳細 |
|---|---|
| 患者様データ | 89歳 女性 |
| 来院時の主訴 | 「入れ歯を入れると痛くて食事が取れない。」 |
| 医院の診断 | 義歯不適合による咀嚼不良・口腔機能低下 |
| 通院期間 | 6ヶ月 |
| 来院回数 | 12回 |
| 治療費 | 総額:1,250,000円(税抜) 【内訳】 上顎:総義歯350,000円 |
| リスクと副作用 | 定期的なメンテナンスが必要 |
| ここがこだわりのポイント!☝ | 食事中に外れることがない義歯になり、患者様に大変満足していただきました。 |
