「只今、インプラント無料相談実施中!」

まずは検査をせずに、一般的な治療のお話だけでも聞いてみたいという方はお気軽にご連絡ください。
047-312-6582
※個々に合った正確な治療プランやお見積をご希望の場合、別途検査が必要となります。 検査を希望される場合、お電話でその旨をお伝え下さい。なお、検査には費用が発生しますのでご注意ください。
- インプラントとは?
- 歯を失ってしまった方へ
- 当院のインプラント治療
- インプラントのメリット・デメリット
- インプラント治療の流れ
- 骨がなくて他院でインプラント治療を断られてしまった方へ「骨造成手術」
- インプラント治療には歯茎の状態も重要「歯肉形成」
- 抜歯即時インプラント
- 歯を失って放置してしまうと、、
- インプラント治療でよくあるご質問
- インプラント治療の症例
- インプラント治療の症例【抜歯即時埋入】
- インプラント治療の症例【難症例】
インプラントとは?
インプラント治療とは、顎の骨にインプラント体という人工歯根を埋め込み、そこに人工歯を固定する治療法です。インプラント体は顎の骨に化学的に結合(オッセオセオインテクレーション)し固定されるため、天然歯と同じような自然な噛み心地を再現することができます。 インプラント治療は、第二の永久歯とも呼ばれ、さまざまなメリットがあります。歯を失ってしまった方へ
「しっかり噛めない」「見た目が気になる」
そんなお悩みを抱えていませんか?
また自分の歯のように噛めるようになりたい」「自然な見た目を取り戻したい」
そんな思いに応えるのがインプラント治療です。
私たちは、"安心して任せられるインプラント治療"を何より大切にしています。
治療の前には十分な検査や説明を行い、患者さんのご希望や不安に寄り添った治療計画を提案することができます。
また、安全性を重視した痛みや負担が少ない手術と、丁寧なアフターケアを行います。
インプラントは「ただ歯を入れる治療」ではなく、これからの人生を快適に過ごすためのサポートだと私達は考えています。
どうぞ安心して、私たちにお任せ下さい。
心をこめて、あなたの笑顔と食事の楽しみを、もう一度取り戻すお手伝いをいたします。
当院のインプラント治療
ITI 日本支部公認インプラントスペシャリストによる「インプラント治療」

ITI(International Team for Implantology/インターナショナル・チーム・フォー・インプラントロジー)は、世界101カ国に15,000人以上のメンバーを擁し、うち55カ国では800人を超えるメンバーが活動する、国際的なインプラント学術団体です。インプラント治療の発展と臨床の質向上を目的に、研究・教育・臨床の三位一体でグローバルに活動を展開しています。現在、日本支部(ITI Japan Section)には1,300名を超える会員が在籍しており、国内におけるインプラント医療の発展にも大きく貢献しています。当院の院長は、ITI日本支部公認 インプラントスペシャリストに認定されています。本資格は、「インプラント治療および関連する組織再生において、幅広い学識と高度な専門技能を有する歯科医療従事者を育成し、医療の進歩と国民のQOL(生活の質)向上に寄与すること」を目的とした、ITI日本支部独自の公認制度です。今後も患者様に専門性の高い、安全・安心なインプラント治療の提供に努めてまいります。
歯周病の知識・経験が豊富な歯科医師による治療
インプラントを長持ちさせるためには、精密な診断による正しい位置へのインプラントの埋入と、治療後の適切なメンテナンスが重要です。インプラントは土台がしっかりしていないとぐらついたり、自然に抜け落ちたり、インプラント周囲炎を引き起こしたりさまざまなトラブルを招くおそれがあります。当院のインプラント治療は歯周病に関する知識や経験も豊富な医師が行うため、治療箇所の歯周組織の状態を細かく確認するとともに、術後のメンテナンスも適切に行うことができます。健康な歯周組織を維持するためのケアを行い、インプラントを安全に長く使用していただけるようサポートいたします。歯周病治療がしっかり行える歯科医院でインプラント治療を受けることをおすすめします。
歯科用CT・セファロレントゲンで正確な診断
インプラント治療を成功させるためには、正確な診断を行い緻密な治療計画を作成することが重要です。当院のインプラント治療では、歯科用CTとセファロレントゲンを活用し、歯の状態や骨の状態、神経や血管の位置などを正確に把握し、精密な診断を行っています。歯科用CTは従来のレントゲンとは違い、お口の状態を3D画像で立体的に写すことができます。そのため、二次元画像では隠れてしまう部分の歯の状態や、顎の骨の厚み、神経や血管の走行位置などを細部まで正確に把握することができ、インプラントを埋め込む際の安全性を格段に上げることが可能になりました。また、顎の骨を中心とした頭部のX線企画写真撮影を行うセファロレントゲンでは、顎と歯の位置関係や骨格の構造を詳細に分析することが可能です。セファロレントゲンによって、インプラントの埋入位置や角度を安全に正確に定めることができ、精密な治療計画を立案できるようになりました。
サージカルガイドによる事前シミュレーション

サージカルガイドとは、精密検査データをもとにコンピューターで3Dシミュレーションを行い、インプラントの埋入位置や角度・深さなどを正確にガイドするためのシステムです。サージカルガイドを使用することで、治療計画通りに正確なインプラント埋入が行えるようになりました。神経や血管を傷つけるリスクを軽減し、安全性と成功率を高めることにもつながります。また、治療のための切開も最小限に抑えることができるので、患者様の体にかかる負担も軽減します。
マイクロスコープを用いた精密な治療
当院のインプラント治療では、歯科用顕微鏡のマイクロスコープを導入しています。より安全で成功率の高いインプラント治療を行うためには、治療箇所を細部まで正確に確認しながら治療を行うことが大切です。マイクロスコープは肉眼の3〜20倍に視野を拡大することができるため、インプラントを顎の骨に埋め込むための細かい作業を安全に正確に行うことが可能です。また、人工歯をインプラント体に装着する際にも、マイクロスコープを使用することで微細な調整が可能になり、より自然で美しい仕上がりを実現できます。
世界シェア率が高い「ストローマン」インプラント
当院では、世界シェアNo. 1で信頼性の高い「ストローマン」インプラントを採用しています。スイスのストローマン社が製造しているインプラントで、豊富な適応症例と長期的臨床実績を持つため、安心して使用していただけます。質の高いインプラントを使用することで、インプラント治療の成功率をさらに高めることができます。転勤や引っ越しがあった場合にも、日本国内で多くの歯科医院で取り扱っているため、引き続き適切な対応を受けられます。
インプラント治療のメリット・デメリット
メリット
-
■天然歯を削る必要がなく、周囲の歯に負担をかけない
-
■天然歯に近い形態・機能・審美性を回復できる
-
■義歯に比べて咬む力(咬合力)が強く、しっかりと噛める
-
■異物感が少なく、自然な装着感を得られる
-
■長期間にわたり安定した咬合を維持できる
-
■顎の骨(顎堤)の吸収を防ぎ、口元の形を保つことができる
デメリット
■外科手術が必要であり、身体への負担がある
■治療期間が比較的長くかかる
■インプラント埋入後、少なくとも4週間は義歯を装着できない期間がある
■全身の健康状態やお口の状態によっては、適応とならない場合がある
■高い精度の技術・滅菌体制・技巧操作が求められる
■保険が適用されないため、比較的費用が高くなる
インプラント治療の流れ
1カウンセリング
まずはヒアリングとカウンセリングから始めます。
患者様のご希望を丁寧に伺い、インプラント治療が最適かどうかを総合的に判断いたします。「手術がこわい」「痛みが心配」そんなお気持ちも、どうぞそのままお聞かせください。
※この段階でおおよその治療期間や費用についてもご説明いたします。
2事前検査・診断
治療を進める前に、レントゲンやCT撮影、口腔内スキャンによる精密検査を行います。
歯槽骨の量・質・形を正確に把握し、インプラントをセットする位置・深さ・角度等を細かく検討し、理想的なインプラントが可能かを診断いたします。骨が不足している場合は、どの程度の骨造成(GBR)が必要かも診断します。手術は「準備」を怠ると失敗する可能性があります。これらの検査は、安全で長持ちする治療を行う上で欠かせない、重要な工程です。
※この時点で正確な治療計画を元にしたお見積のご説明もいたします。
3一次手術(インプラント埋入)
骨の中に最新のドリルで穴をあけ、インプラントを埋め込みます。
当院のインプラント治療が痛くない秘訣は「小さい穴」です。当院では、たった2〜3mm幅の穴をあけるだけで済むため、術後の痛みもほとんどありません。また、必要に応じてGBR(骨造成)も同時に行います。骨造成量が多い場合、GBRのみを先に行うこともあります。※GBRを行った場合は術後のケアで痛みや腫れを最小限にできるよう手を尽くします。
4インプラントと骨の結合期間
セットしたインプラントと顎骨がしっかりと結合するまで、約3〜6ヶ月の期間を置きます。特に、最初の1ヶ月がインプラントの安定のためのゴールデンタイムのため、当院が責任をもって口腔ケアを行います。その後は他に口の中で治療する場所がない場合、この期間中に患者様には特に来院していただくことはございません。ただ、口の中を清潔に保っていただき「待つ」のみとなります。
5二次手術
インプラントと骨の結合を確認した後、再度歯ぐきを開いて「アバットメント」と呼ばれる土台部分を装着します。このパーツが、人工歯を取り付けるための連結部となります。
※「一回法」の場合は、インプラントを歯ぐきの上に露出させたまま手術を終えるため、二次手術は不要です。
6仮歯の装着
アバットメントの上に仮歯を装着し、実際に使用しながら噛み合わせや見た目を確認します。違和感がある部分は歯科医師と相談しながら微調整を行い、最終的な人工歯の製作に必要なデータを集めます。
7最終的な人工歯(上部構造)の装着
仮歯で得た情報をもとに、患者様にあったセラミック製の人工歯を「フルオーダーメイド」で製作します。噛み合わせや色合いを最終調整したうえで装着し、インプラント治療は完了となります。
8メインテナンス
インプラントは「第二の永久歯」とも言えます。治療完了後は、定期的なメインテナンスがとても重要です。ネジの緩みや噛み合わせをチェックし、インプラント周囲炎などのトラブルを未然に防ぎます。インプラントは虫歯にはなりませんが、メインテナンスを怠ると歯周病のリスクが高まります。当院では、治療後も長く快適にお使いいただけるよう継続的にサポートいたします。
骨がなくて他院でインプラント治療を断られてしまった方へ「骨造成手術」
インプラント治療は顎の骨に人工歯根を埋め込むため、顎の骨の厚みや骨量が不足している場合には治療を行うことができません。顎の骨が十分にないまま人工歯根を埋め込んでしまうと、顎の骨を貫通したり、うまく噛めなかったり、インプラントを支えられず自然に抜け落ちるなどさまざまなトラブルを引き起こします。そのため顎の骨が不足している方には、インプラント治療前にまず「骨造成手術」という骨量を増やす手術を行います。骨量が足りずインプラント治療を断念せざるを得なかった方も、当院の骨造成手術によってインプラント治療を行える可能性があります。まずは一度ご相談にいらしてください。
GBR
GBR(Guided Bone Regeneration)は、顎の骨の厚みが不足している部分にメンブレンという特殊な人工膜を被せ、人工膜で覆った中に自家骨や人工骨補填剤を詰めて、骨芽細胞の増殖を促します。個人差はありますが、6ヶ月ほどで骨が作られます。GBRで顎の骨を再生し十分な骨量を確保することで、安全なインプラント治療を行うことが可能です。
ソケットリフト
上顎の奥歯の骨量が足りない場合には、ソケットリフトを行い不足している骨の厚みを増やします。ソケットリフトでは、まず口腔内から上顎洞の底部にあるシュナイダー膜の1mmほど手前の位置まで穴を開けます。そして、専用の器具で上顎洞を押し上げてできたスペースに自家骨や人工の骨を補填し、骨の厚みを増やします。歯槽骨の厚みが5mm以上10mm未満の場合などに適応されることが多い方法ですが、複数の骨が欠損している場合には適応されません。外科手術の範囲が狭いため、傷や腫れなども少なく、治療期間も比較的短いです。
サイナスリフト
骨量が不足している部分の歯茎を切開し、上顎洞の側面に穴を開けます。そして専用の器具でシュナイダー膜を慎重に剥離して上顎洞を直接持ち上げます。持ち上げてできたスペースに自家骨や人工の骨補填材を移植し骨の厚みを増やします。骨の厚みが3〜5mm以下の場合や複数の歯の骨が欠損している場合に適応される方法です。個人差はありますが、移植した骨が安定するまでに6ヶ月〜1年ほどかかります。
インプラント治療には歯茎の状態も重要「歯肉形成」
歯周病などによって歯ぐきが下がってしまった方へ
当院では「歯周形成」の処置にも対応しております。あまり馴染みのない言葉かもしれませんが、これは歯周病の進行や、生まれつき歯肉が薄いなどの理由で歯肉が後退したり、形態異常が生じたりしている方に向けた治療です。歯肉の形態異常は、見た目の問題(歯が長く見える、笑ったときに歯茎が目立つなど)だけでなく、冷たいものがしみる(冷水痛)、歯茎の後退によるプラークコントロールの難しさなど、さまざまな影響を及ぼします。お悩みの方は、ぜひお気軽にご相談ください。
抜歯即時インプラント
抜歯即時インプラントとは?
抜歯即時インプラントとは、歯を抜いたその日に同じ部位へインプラント体(人工歯根)を埋め込む治療法のことです。通常のインプラント治療では、抜歯後に骨や歯ぐきの治癒を待ってから数か月後にインプラントを埋め込みますが、この方法では治療期間を大幅に短縮できます。抜歯即時インプラントの特徴
-
治療期間の短縮
-
通常は抜歯後に3〜6か月ほど骨が治るのを待ちますが、即時埋入では同日に手術できるため、治療全体の期間が短くなります。
-
骨や歯ぐきの形を保てる
-
抜歯後すぐにインプラントを入れることで、歯槽骨や歯肉が痩せにくく、自然な見た目を保ちやすいです。
-
審美性が高い
-
特に前歯など見える部分で、歯が抜けたままの期間を減らせるため、見た目の問題を最小限にできます。
-
抜歯即時インプラントの治療の流れ
-
1カウンセリング・検査・診断
まずはカウンセリングから始めます。インプラントが最適な治療かどうかを総合的に評価し、その必要性や他の選択肢も含めて丁寧にご説明します。そのうえで、インプラントを埋め込む位置・深さ・角度まで精密に検討し、CT等を用いて診査・診断を行います。費用の目安や治療期間についても、この段階でわかりやすくご案内します。2抜歯・インプラント埋入
抜歯後、その日のうちにインプラントを埋め込みます。処置の際には、感染を防ぐために抜歯した部分の内部を丁寧に清掃・除菌し、清潔な状態を保ったうえでインプラントを埋入します。これにより、治療後のトラブルを防ぎ、安全で確実なインプラント治療を行うことができます。3抜歯窩保存術
抜歯後に、骨移植やメンブレン(人工膜)の設置を行い、骨の吸収をできるだけ抑える処置を抜歯窩保存術といいます。この処置を行うことで、将来インプラントを埋め込む際に十分な骨の量を確保でき、手術をより安全かつスムーズに進めることが可能になります。4最終の上部構造を装着
一定の治癒期間を経ると、インプラントの周囲には新しい骨が形成され、歯ぐきも健康的に回復していきます。その状態をしっかりと確認したうえで、最終的な被せ物の製作に進みます。当院では、見た目と耐久性の両面に優れたジルコニアやセラミック素材を使用し、自然な美しさと快適な噛み心地を実現しています。
歯を失って放置してしまうと、、
歯を失ってしまった際にそのままにしてしまうと、空いたスペースに周囲の歯が傾いてきたり、対合歯が徐々に伸びてきたり、歯並びやかみ合わせを乱す原因になります。
歯並びやかみ合わせの乱れはお口の健康だけでなく、全身の健康にもさまざまな影響を及ぼすおそれがありますので、早めに歯の機能を補う必要があります。歯を失ってしまった時の治療法として、ブリッジと入れ歯のほかにインプラント治療で歯の機能を補うことができます。
抜歯をして、痛みなどの症状から解放することが治療のゴールではありません。やむを得ず抜歯が必要になってしまったら、抜歯後にどのような補綴治療を行って、口腔機能を維持するかを検討する必要があります。
歯が抜けたままになっている方、抜歯の予定がある方、歯を失った後のこともドクターと相談し、決めていく必要があります。当院では、インプラント治療を含めた補綴治療をご提案し、患者様に合った治療選択を行っていただいております。何らかのトラブルが生じる前に、お気軽にご相談いただけると幸いです。
インプラント治療でよくあるご質問
前歯のインプラントは見た目が自然になりますか?
はい。ジルコニアやセラミックを用いることで、天然歯と見分けがつかないほど自然な仕上がりが可能です。歯ぐきのラインや透明感も細かく再現できます。
抜歯したその日にインプラントを入れられますか?
条件が良ければ可能です(抜歯即時インプラント)。骨や歯ぐきの状態をCTで確認し、安全に行える場合のみ実施します。
仮歯はすぐに入れてもらえますか?
審美部位では「即時仮歯」を装着できるケースが多く、見た目を保ちながら治療を進めることができます。
歯ぐきのラインが下がらないか心配です
抜歯後に骨補填や歯肉移植(CTG)を行うことで、歯ぐきのボリュームを維持し、自然なラインを保ちます。
前歯の色や形は周囲の歯と合わせられますか?
はい。色調や透明感、歯の形を周囲の歯と調和させるよう、歯科技工士と連携して精密に製作します。
骨が少なくてもインプラントはできますか?
骨量が不足している場合は、GBR(骨再生誘導法)やソケットリフト・サイナスリフトといった骨造成術を行い、インプラントを支える骨を再生します。
抜歯後に骨がやせるのはなぜですか?
歯を失うと、噛む力が伝わらなくなるため骨が自然に吸収されます。これを防ぐために「抜歯窩保存術」を行い、骨をできるだけ残します。
骨造成をすると治療期間は長くなりますか?
骨の再生には数ヶ月の治癒期間が必要なため、通常より2〜4か月程度長くなる場合があります。
骨補填材は安全ですか?
当院では、国内外で認可を受けた安全性の高い人工骨材を使用しています。自家骨と併用するケースもあります。
骨造成後のインプラントの成功率は下がりますか?
適切な手術と管理を行えば、通常のインプラントとほぼ同等の成功率が期待できます。
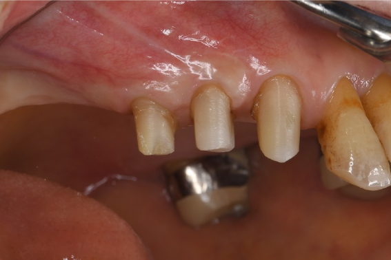
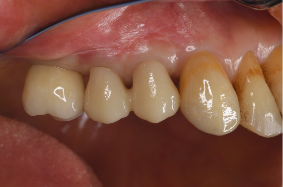
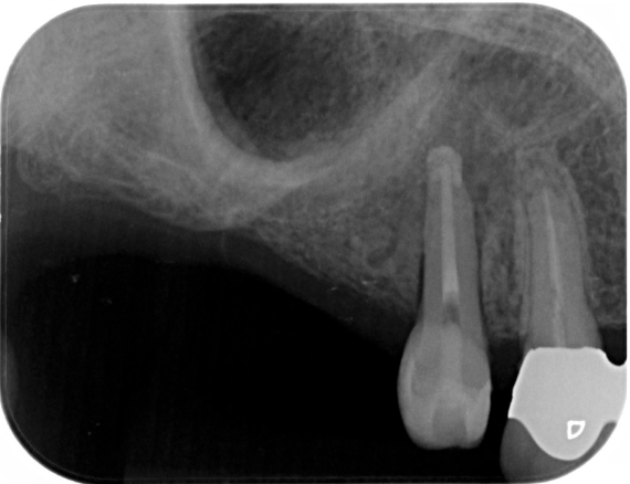
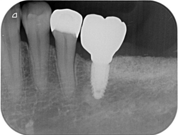
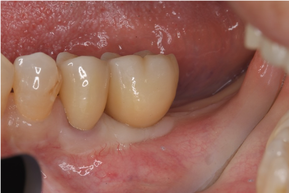
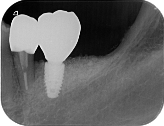
インプラント治療の症例
症例1




| 項目 | 詳細 |
|---|---|
| 患者様データ | 30代 女性 |
| 来院時の主訴 | 「右上に歯を入れたい。」 |
| 医院の診断 | 右上第二小臼歯の残根 |
| 通院期間 | 4か月 |
| 来院回数 | 7回 |
| 治療費 | 総額:420,000円(税抜) 【内訳】 インプラント埋入手術250,000円、インプラント上部構造(セラミッククラウン)170,000円 |
| リスクと副作用 | 定期的なメンテナンスが必要、術後若干の腫れと痛み |
| ここがこだわりのポイント!☝ | インプラントだとわからないような自然な仕上がりを目指して治療しています。 |
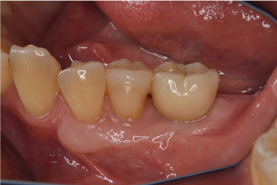
症例2




| 項目 | 詳細 |
|---|---|
| 患者様データ | 40代 男性 |
| 来院時の主訴 | 「右下が噛むと痛い。」 |
| 医院の診断 | 右下第一大臼歯の歯根破折 |
| 通院期間 | 6か月 |
| 来院回数 | 10回 |
| 治療費 | 総額:600,000円(税抜) 【内訳】 インプラント埋入手術250,000円、GBR(骨再生手術)150,000円、仮歯30,000円、インプラント上部構造(セラミッククラウン)170,000円 |
| リスクと副作用 | 定期的なメンテナンスが必要、術後若干の腫れと痛み |
| ここがこだわりのポイント!☝ | 術後のメインテナンスを想定し、インプラント上部に汚れがつきにくいジルコニアクラウンを選択しています。 |
症例3




| 項目 | 詳細 |
|---|---|
| 患者様データ | 50代 男性 |
| 来院時の主訴 | 「左下で噛むと違和感がある。」 |
| 医院の診断 | 左下第二大臼歯の歯根破折 |
| 通院期間 | 9か月 |
| 来院回数 | 12回 |
| 治療費 | 総額:835,000円(税抜) 【内訳】 インプラント埋入手術250,000円、GBR(骨再生手術)150,000円、2次手術+FGG(遊離歯肉移植術)55,000+60,000円、仮歯30,000円、インプラント上部構造(セラミッククラウン)170,000円、隣在歯セラミッククラウンのやりかえ120,000円 |
| リスクと副作用 | 定期的なメンテナンスが必要、術後若干の腫れと痛み |
| ここがこだわりのポイント!☝ | インプラント周囲に角化歯肉と言われる健常な歯肉がなかったので、口蓋からの歯肉移植を行っています💡この角化歯肉がないと、インプラントをしてもうまく歯磨きができないことがあります。 |
症例4






| 項目 | 詳細 |
|---|---|
| 患者様データ | 60代 女性 |
| 来院時の主訴 | 「右下が腫れている。噛むと痛みがある。」 |
| 医院の診断 | 右下第二小臼歯の歯根破折 |
| 通院期間 | 1年 |
| 来院回数 | 16回 |
| 治療費 | 総額:1,940,000円(税抜) 【内訳】 インプラント埋入手術250,000円×2、GBR(骨再生手術)150,000円、2次手術+FGG(遊離歯肉移植術)55,000×2+80,000円、仮歯30,000円×2、インプラント上部構造(セラミッククラウン)170,000円×2、周囲歯のやりかえ:精密根管治療100,000円(大臼歯)+80,000円(小臼歯)、ファイバーポスト&コア(歯の補強)20,000円×2、セラミッククラウンのやりかえ120,000円×4 |
| リスクと副作用 | 定期的なメンテナンスが必要、術後若干の腫れと痛み |
| ここがこだわりのポイント!☝ | インプラント周囲に角化歯肉と言われる健常な歯肉がなかったので、口蓋からの歯肉移植を行っています💡 |
インプラント治療【抜歯即時埋入】の症例
症例1




| 項目 | 詳細 |
|---|---|
| 患者様データ | 56歳 男性 |
| 来院時の主訴 | 「左上の奥歯が腫れて噛めない。」 |
| 医院の診断 | 歯根の破折 |
| 通院期間 |
3か月 |
| 来院回数 | 7回 |
| 治療費 | 総額:480,000円(税抜) 【内訳】 インプラント埋入手術250,000円、抜歯即時埋入加算30,000円、仮歯30,000円、インプラント上部構造(セラミッククラウン)170,000円 |
| リスクと副作用 | 定期的なメンテナンスが必要、術後若干の腫れと痛み |
| ここがこだわりのポイント!☝ | 保存不可能な歯の抜歯と同日にインプラント埋入を行うことで、患者来院回数・通院期間を大幅に少なくすることができた。 |
症例2




| 項目 | 詳細 |
|---|---|
| 患者様データ | 51歳 女性 |
| 来院時の主訴 | 「左下の奥歯がとれた。」 |
| 医院の診断 | 歯肉縁下う蝕による残存歯質不足 |
| 通院期間 | 3か月 |
| 来院回数 | 7回 |
| 治療費 | 総額:480,000円(税抜) 【内訳】 インプラント埋入手術250,000円、抜歯即時埋入加算30,000円、仮歯30,000円、インプラント上部構造(セラミッククラウン)170,000円 |
| リスクと副作用 | 定期的なメンテナンスが必要、術後若干の腫れと痛み |
| ここがこだわりのポイント!☝ | 保存不可能な歯の抜歯と同日にインプラント埋入を行うことで、患者来院回数・通院期間を大幅に少なくすることができた。 |
インプラント治療【難症例】
サイナスリフト
症例1






| 項目 | 詳細 |
|---|---|
| 患者様データ | 70歳 女性 |
| 来院時の主訴 | 「インプラント治療を受けたい。」 |
| 医院の診断 | 歯牙欠損 |
| 通院期間 |
8か月 |
| 来院回数 | 10回 |
| 治療費 | 総額:755,000円(税抜) 【内訳】 サイナスリフト250,000円、インプラント埋入手術250,000円、2次手術55,000円、仮歯30,000円、インプラント上部構造(セラミッククラウン)170,000円 |
| リスクと副作用 | 定期的なメンテナンスが必要、術後若干の腫れと痛み |
| ここがこだわりのポイント!☝ | サイナスリフト手術とインプラント埋入手術を同時に行うことで、手術回数を減らし、治療期間の短縮をしました。 ほとんど痛みを感じることなく治療を終えられました。 |
症例2




| 項目 | 詳細 |
|---|---|
| 患者様データ | 70代 女性 |
| 来院時の主訴 | 「歯周病の痛みをとっていただきたい。」 |
| 医院の診断 | 重度歯周病、歯牙欠損 |
| 通院期間 | 6か月 |
| 来院回数 | 5回 |
| 治療費 | 総額:850,000円(税抜) 【内訳】 サイナスリフト350,000円、インプラント埋入手術250,000円×2 |
| リスクと副作用 | 定期的なメンテナンスが必要、術後若干の腫れと痛み |
| ここがこだわりのポイント!☝ | 骨が少なくインプラント埋入ができない所にサイナスリフトを行うことで骨を再生し、インプラント治療が可能になりました! |
大規模な骨造成(GBR)
症例1


| 項目 | 詳細 |
|---|---|
| 患者様データ | 60代 女性 |
| 来院時の主訴 | 「インプラント治療を受けたい。」 |
| 医院の診断 | 歯牙欠損、重度の顎堤欠損、角化歯肉不足 |
| 通院期間 |
6か月 |
| 来院回数 | 4回 |
| 治療費 | 総額:250,000円(税抜) 【内訳】 GBR(骨再生手術)250,000円 |
| リスクと副作用 | 術後の腫れと痛み |
| ここがこだわりのポイント!☝ | 歯周病により失ってしまった骨を再生することができました。 |
症例2




| 項目 | 詳細 |
|---|---|
| 患者様データ | 50代 女性 |
| 来院時の主訴 | 「健康的に噛めるようになりたい。」 |
| 医院の診断 | 歯牙欠損、角化歯肉不足 |
| 通院期間 | 10か月 |
| 来院回数 | 15回 |
| 治療費 | 総額:900,000円(税抜) 【内訳】 GBR(骨再生手術)250,000円、インプラント埋入手術250,000円、2次手術+FGG(遊離歯肉移植術)55,000+60,000円、仮歯30,000円、インプラント上部構造(セラミッククラウン)170,000円、セラミックオーバーレイ85,000円 |
| リスクと副作用 | 定期的なメンテナンスが必要、術後若干の腫れと痛み |
| ここがこだわりのポイント!☝ | ただ噛めるだけではなく、歯ブラシに対して抵抗できる健常な歯肉も再生させる処置を行うことで、 長期間メインテナンスしやすい環境づくりをしています。 |
症例3




| 項目 | 詳細 |
|---|---|
| 患者様データ | 68歳 女性 |
| 来院時の主訴 | 「普通に食事がしたい。」 |
| 医院の診断 | 歯牙欠損、重度の顎堤欠損、角化歯肉不足 |
| 通院期間 | 10か月 |
| 来院回数 | 15回 |
| 治療費 | 総額:1,005,000円(税抜) 【内訳】 GBR(骨再生手術)250,000円、インプラント埋入手術250,000円、2次手術+FGG(遊離歯肉移植術)55,000+60,000円、仮歯30,000円、インプラント上部構造(セラミッククラウン)170,000円、歯冠長延長術70,000円、セラミッククラウン120,000円 |
| リスクと副作用 | 定期的なメンテナンスが必要、術後若干の腫れと痛み |
| ここがこだわりのポイント!☝ | 骨量不足により他院にてインプラントを断られた患者様です。大規模な骨造成を行うことでインプラント治療が可能になりました。 |

