歯髄温存療法の症例
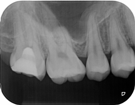
症例1


| 項目 | 詳細 |
|---|---|
| 患者様データ | 13歳 女性 |
| 来院時の主訴 | 「右上奥歯が噛むと痛い。」 |
| 術前検査結果 | 歯髄の生活反応有り、自覚症状有り |
| 医院の診断 | 症候性可逆性歯髄炎 |
| 通院期間 | 1年間 |
| 来院回数 | 3回 |
| 治療費 | 総額:127,000円(税抜) 【内訳】 歯髄保存療法(MTA使用)55,000円、ダイレクトボンディング治療70,000円、術後経過観察時検査代1,000円×2回分 |
| リスクと副作用 | ①適応症が限られる ②時間が経過してからトラブルが生じることがあるため、長期的(約半年〜4年)な経過観察が必要 |
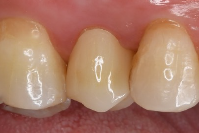
| ここがこだわりのポイント!☝ | 子供のうちは歯が口の中に生えてからも外からは見えない神経と歯根の成長は進んでいます。歯の成長期に神経をとってしまうとその成長が止まってしまうため、歯髄温存療法により神経の保存を試みました。結果、順調に歯は成長し、健康な大人の歯になることができました。MI治療が可能と判断したので、年齢も若いことから治療後は歯を極力削らない治療で終了しています。 |
症例2




| 項目 | 詳細 |
|---|---|
| 患者様データ | 30代 男性 |
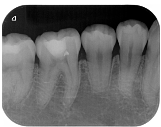
| 来院時の主訴 | 「右上の歯が何もしなくても痛い。他院で神経を取ると言われたが、残せないか相談したい。(セカンドオピニオン)」 |
| 術前検査結果 | 歯髄の生活反応有り、自覚症状有り |
| 医院の診断 | 症候性可逆性歯髄炎 |
| 通院期間 | 1年間 |
| 来院回数 | 7回 |
| 治療費 | 総額:197,000円(税抜) 【内訳】 セカンドオピニオン20,000円、歯髄保存療法(MTA使用)55,000円、セラミック治療120,000円、術後経過観察時検査代1,000円×2回分 |
| リスクと副作用 | ①適応症が限られる ②時間が経過してからトラブルが生じることがあるため、長期的(約半年〜4年)な経過観察が必要 |
| ここがこだわりのポイント!☝ | 術前の症状の強さは神経を残せるかどうかには関係ありません。術前検査情報に加えて、術中のマイクロスコープでの歯髄診査にて神経を残せるかどうかの最終判断を行なっています。 |
症例3


| 項目 | 詳細 |
|---|---|
| 患者様データ | 20代 男性 |
| 来院時の主訴 | 「虫歯の治療をしたい。症状はない。」 |
| 術前検査結果 | 歯髄の生活反応有り、自覚症状無し |
| 医院の診断 | 無症候性可逆性歯髄炎 |
| 通院期間 | 1年間 |
| 来院回数 | 3回 |
| 治療費 | 総額:112,000円(税抜) 【内訳】 歯髄保存療法(MTA使用)40,000円、ダイレクトボンディング治療70,000円、術後経過観察時検査代1,000円×2回分 |
| リスクと副作用 | ①適応症が限られる ②時間が経過してからトラブルが生じることがあるため、長期的(約半年〜4年)な経過観察が必要 |
| ここがこだわりのポイント!☝ | 慢性う蝕の場合、術前症状がなくても、歯髄にまで細菌感染が生じているケースは珍しくありません。患者様は術前に症状の訴えはありませんでしたが、歯の神経にまで細菌感染が生じており、神経の除去を勧めたところ、歯髄保存療法を希望されました。MI治療が可能と判断したので、年齢も若いことから治療後は歯を極力削らない治療で終了しています。 |
