- 矯正治療の専門歯科医師による相談を実施しています!
- 小児矯正を行うメリット
- マウスピース式の「プレオルソ」
- 「プレオルソ」で予防できる可能性が高い歯並び
- 歯並びを乱す悪い癖を改善するためのMFT(口腔筋機能療法)
- その他の小児矯正装置の種類
- 小児矯正の症例
矯正治療の専門歯科医師による相談を実施しています!
当院の小児矯正は、矯正治療の専門歯科医師が担当しています。お子様の健康と笑顔を守るために丁寧なカウンセリングを行いますので、お気軽にお問い合わせください。
小児矯正を行うメリット
小児矯正を行うメリットは、お子様の顎の骨が成長するタイミングを利用できる点と、大人よりも適応能力が高いという点です。小児矯正で顎の骨の成長をコントロールすることで、永久歯がきれいに並ぶためのスペースを確保します。子どもの頃に正しい歯並びのための基盤ができていると、大人になってから矯正治療を行う際の抜歯リスクを回避できる可能性があります。また、子どもの方が大人よりも適応能力が高いため、矯正治療中の生活に慣れるのが早い傾向があります。治療による歯並びやかみ合わせの変化に対しても、口周りの筋肉や身体の筋肉が順応しやすいです。
マウスピース式の「プレオルソ」
プレオルソとは、柔らかいシリコン製のマウスピース型矯正装置です。プレオルソによって顎の骨の成長のコントロールとお口周りの筋肉のトレーニングを行い、お子様の歯並びやかみ合わせを乱す原因を取り除きます。プレオルソは取り外しができるので、就寝時や家にいる時だけの装着で学校につけていく必要がありません。
プレオルソでお口周りの筋肉を鍛えることで、お口をポカンと開ける癖や、口呼吸を改善し、舌を正しい位置に導き、歯並びを乱す原因を根本的に解消することができます。
「プレオルソ」で予防できる可能性が高い歯並び
出っ歯(上顎前突)
上顎が下顎よりも前方に突出している歯並びです。口が閉じにくいのでドライマウスになりやすく、むし歯にもなりやすくなってしまいます。見た目やかみ合わせだけでなく、発音にも影響を及ぼすことがあります。
デコボコの歯並び(叢生)
歯が他の歯に重なり合い歯並びがデコボコしている状態です。デコボコしているので汚れが溜まりやすく、磨き残しも残りやすいです。むし歯や歯周病にかかるリスクが高く、歯で口腔内の粘膜を傷つけるリスクも高いです。
受け口(下顎前突)
下顎が上顎よりも前方に出ている状態で、見た目や発音・咀嚼に影響が出やすいです。受け口は成長とともに悪化しやすいので、早期に治療を開始する必要があります。
歯並びを乱す悪い癖を改善するためのMFT(口腔筋機能療法)
MFT(口腔筋機能療法)では、歯並びに悪影響を及ぼす悪習癖の改善とお口周りや舌の筋肉の強化をすることで、舌を正しい位置に導きます。口呼吸や指しゃぶり、頬杖、舌を上下の前歯の間に挟む癖、前歯を歯で押し出す癖などは歯並びやかみ合わせを乱す原因になります。本来口を閉じている時は舌の先端が上の前歯のやや後ろに触れていて、舌全体が上顎に付いている状態が正しい舌の位置です。しかし舌やお口周りの筋肉が正しく使えていないと、舌の位置が本来よりも低い位置になってしまい歯並びの乱れにつながります。子どものうちにMFTで正しい舌の位置や動かし方・呼吸方法を身に付けることは、歯並びの乱れを防ぐだけでなく、将来本格的に矯正治療が必要になったときの後戻りの予防にもつながります。お子様の歯並びやかみ合わせ、お口周りの癖でお悩みや気になることがありましたら、お気軽にご相談ください。
その他の小児矯正装置の種類
拡大床
拡大床とは、歯列を外側に拡大し、永久歯がきれいに並ぶためのスペースを確保するための矯正装置です。拡大床はネジの付いた入れ歯のような器具で、段階ごとにネジを締めることで歯列を広げていきます。拡大床は着脱可能なので、食事や歯磨きは今まで通りに行うことができます。
ワイヤー矯正
歯の表面1本1本にブラケットという小さな器具を装着し、そこにワイヤーを通し歯に力を加えることで歯並びをきれいに整えます。
白いセラミックブラケットと白いワイヤーを使った見た目が目立ちにくいワイヤー矯正も行っています。
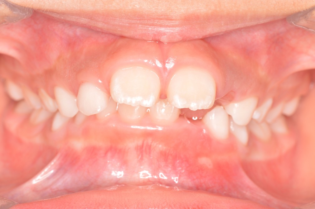
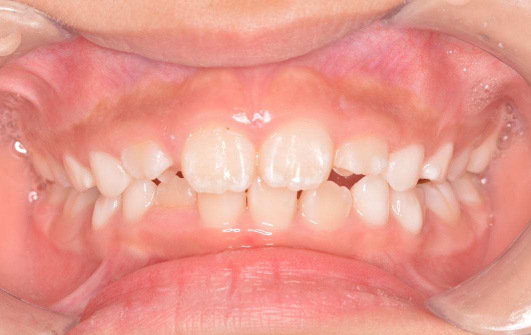
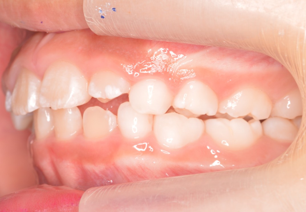
小児矯正の症例
症例1






| 項目 | 詳細 |
|---|---|
| 患者様データ | 10代 女性 |
| 来院時の主訴 | 「口元が出ている。」 |
| 矯正法 |
第1期矯正治療(プレオルソ含む)(夜間のみ装着) |
| 通院期間 | 9ヶ月(矯正継続中) |
| 治療費 | 総額:440,000円(税抜) 【内訳】 精密検査50,000円、小児矯正350,000円、月に1度の調整料5,000円 |
| リスクと副作用 |
①途中でやめてしまうと、後戻りの可能性があります。 |
| ここがこだわりのポイント!☝ |
プレオルソは取り外しマウスピース式の矯正装置のため、本人や家族の治療への協力が欠かせません。 第1期矯正治療は成長期にしかできない矯正治療です。 プレオルソでお口周りの筋肉を鍛えることで、お口ポカンや口呼吸を改善し、抜歯を回避して歯並びを乱す原因を根本的に解消することができます。 |
