- 矯正治療の専門歯科医師による相談を実施しています!
- 矯正歯科の選び方
- 当院で矯正治療を受けるメリット
- 口腔内スキャナーiTero(アイテロ)による不快感の少ない歯型取り
- 矯正装置の種類
- 矯正治療の症例
矯正治療の専門歯科医師による相談を実施しています!

当院の矯正歯科治療は、矯正治療の専門歯科医師が担当しています。豊富な矯正装置を取り揃えて、相談から治療まで行っていますので、お気軽にお問い合わせください。
矯正歯科の選び方
信頼できる歯科医師かどうか
矯正治療は、専門性の高い治療です。矯正歯科治療の知識・経験が豊富な歯科医師がいるかどうかを確認しましょう。
矯正装置の種類が豊富かどうか
患者様の歯並び・かみ合わせに合った治療方法をご提案するために、ワイヤー矯正とマウスピース矯正に対応できる歯科医院に相談することが重要です。
通院しやすい環境かどうか
矯正治療は比較的、通院期間が長い治療のため、通院しやすい環境であるかどうかも重要です。土日診療しているか、駅から近いかも考慮しましょう。
当院で矯正治療を受けるメリット
矯正歯科専門医院の場合、矯正歯科の専門医に治療を受けられる一方で、矯正中にむし歯などのトラブルが起きた場合、他院で治療を受ける必要があります。当院は、一般歯科医院でありながら、矯正専門の歯科医師が在籍しているため、質の高い歯並び改善と歯科治療をワンストップで受けることが可能です。
口腔内スキャナーiTero(アイテロ)による不快感の少ない歯型取り
当院は、口腔内スキャナー「iTero(アイテロ)」を導入し、不快感の少ない歯型採取を行っています。iTero では約1分間の光の照射によって口腔内のデータを正確に取得します。従来のシリコン製の印象材を用いた歯型採取では、歯型のズレが生じることや、採取の際に嘔吐反射などの不快感を与えてしまうことがありましたが、iTeroでは患者様に不快感を与えることなく、口腔内の状態や歯型の精密な3Dデータを取得することができます。また、iTeroでは取得したデータを元に治療シミュレーションを行うこともできるため、より精度の高い矯正治療を行うことができるようになりました。治療シミュレーションは患者様の治療への理解を深め、治療に対するモチベーションアップにもつながります。
精密な歯型採取
従来の歯型採取ではシリコン製の印象材を用いていましたが、印象材は歯から外す際に力がかかってしまうためわずかな歪みやズレが生じやすく、保管の際も歯型の劣化が生じやすいため、誤差のない正確な歯型を取得することはできませんでした。しかし3D口腔スキャナーのiTeroによる歯型採取では、光の照射によって精密な歯型採取が可能です。歯型をデータで取得できるため保管の際の劣化も心配もありません。
不快感のない安全な歯型採取
従来のシリコン製の印象材を使った歯型採取では、印象材を盛ったトレーを口の中に入れたまま数分間待たなくてはいけないため、嘔吐反射が出やすい方や口を開けるのが苦手な方には強い不快感を与えてしまうことがありました。iTeroでの歯型採取では、1分ほどの光の照射で口腔内のデータを取得することが可能なので、不快感を与えることなく患者様への負担を最小限に抑えることができます。また、印象材を誤嚥してしまうなどの心配もありませんので、お子様の歯型採取もより安全に行うことができます。
スピーディーで効率的に治療できる
インビザライン矯正を行う際、従来の印象材を使った歯型採取だと採取した歯型を空輸でアメリカまで送る必要があったため、矯正治療を始めるまでに時間がかかってしまいましたが、iTeroでの歯型採取だと歯型をデジタルデータですぐに送信することができるので、マウスピースが届くまでの時間を従来よりも10日ほど短縮できます。また、取得したデータをもとに治療経過や治療後のシミュレーションを3Dで確認することも可能です。万が一、治療中に破損や紛失などのトラブルがあった場合にもiTeroのデジタルデータによってスピーディーに対応することができます。
矯正装置の種類
マウスピース矯正(インビザライン)
アライナーという透明の薄いマウスピースを着用することで歯を徐々に動かしていく矯正方法です。約2週間ごとに次のステップのアライナーに交換します。マウスピース矯正は目立ちにくく、ご自身で取り外しが可能なので食事や歯磨きは今まで通りに行うことができます。また、ワイヤー矯正のように調整のための通院が必要ないので、心身にかかる負担を抑えることができます。ただし、マウスピース矯正は全ての症例に適応できるわけではないので、適応可能かどうか精密に診断する必要があります。そして、マウスピース矯正は装着時間やアライナーの交換のタイミングを遵守しないと治療効果が出ないため、治療計画通りに進めるためには自己管理を徹底しなくてはいけません。
表側矯正
歯の表面1本1本にブラケットを装着し、そこにワイヤーを通すことで歯を動かす矯正方法です。1番歴史が長く、多くの研究が進んでいるため、幅広い症例に適応することができ、歯を大きく動かすことや歯の動きの細かい微調整を行うことが可能です。
表側矯正はブラケットとワイヤーが金属製で目立ちやすいイメージを持っている方も多いかもしれませんが、当院の表側矯正では白いセラミックブラケットやホワイトワイヤーを使用するため歯の色に馴染みやすく目立ちにくいです。
部分矯正
全体の歯並びではなく、前歯の1、2本など部分的な歯並びを整えるために行う矯正治療です。過去に矯正治療を行っていたが後戻りしてしまった方に行うこともあります。全体矯正よりも治療期間が短く、費用も抑えることができますが、適応症例が限られていますので、まずはお気軽にご相談ください。かみ合わせや歯並び全体に問題がある方に無理に部分矯正を行ってしまうと、逆に歯並びがズレたり、かみ合わせのバランスを乱してしまったりするおそれがあります。
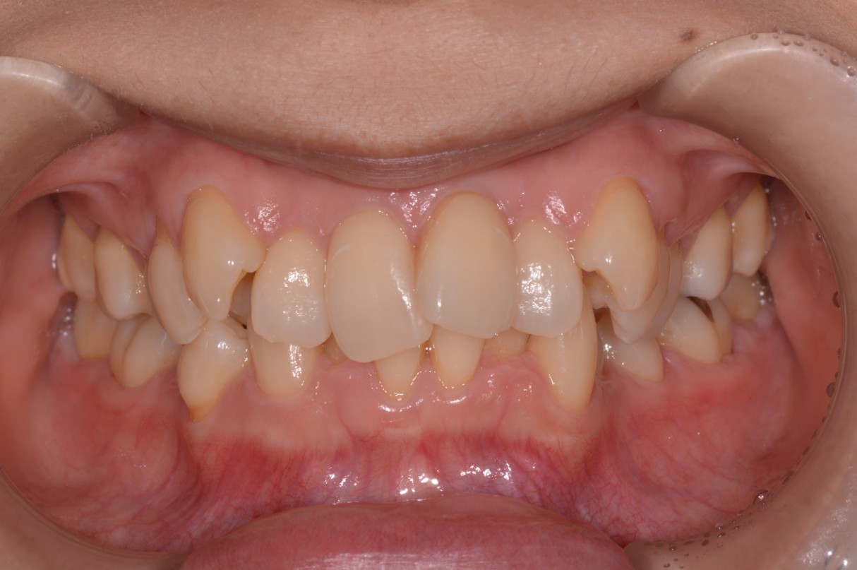
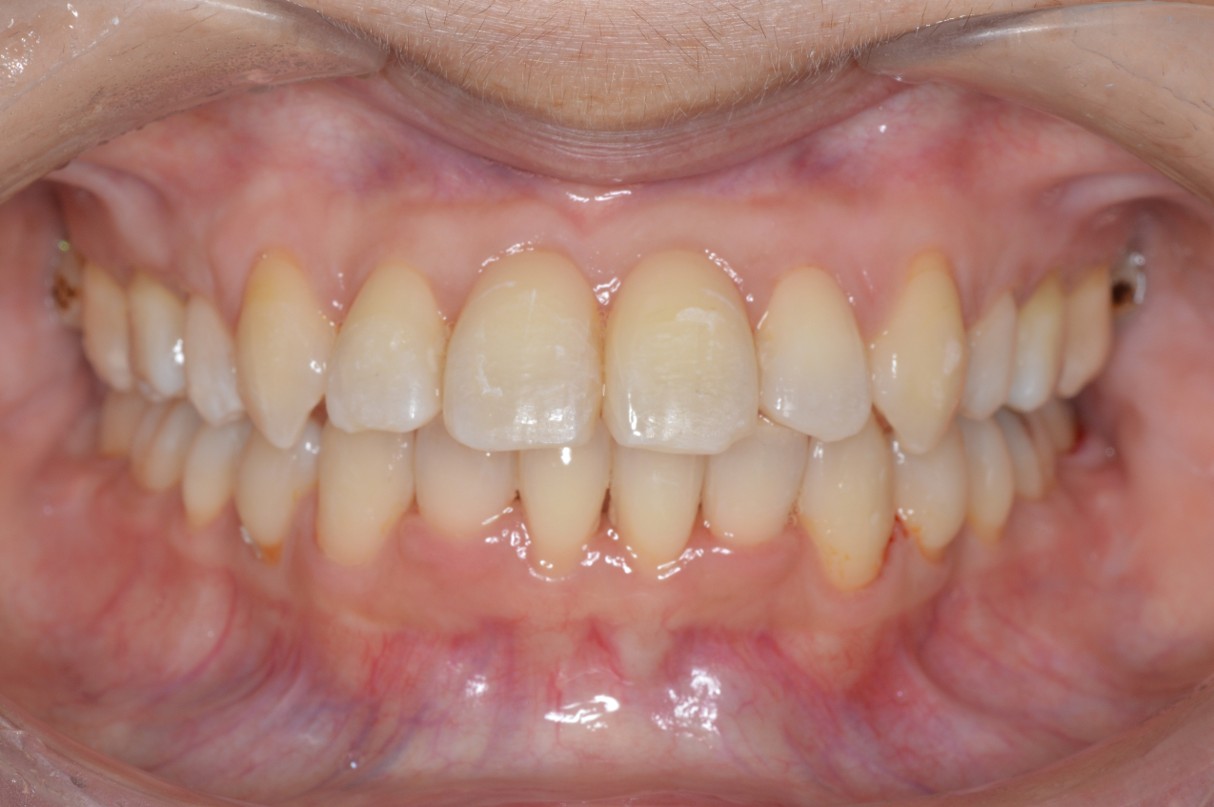
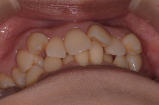
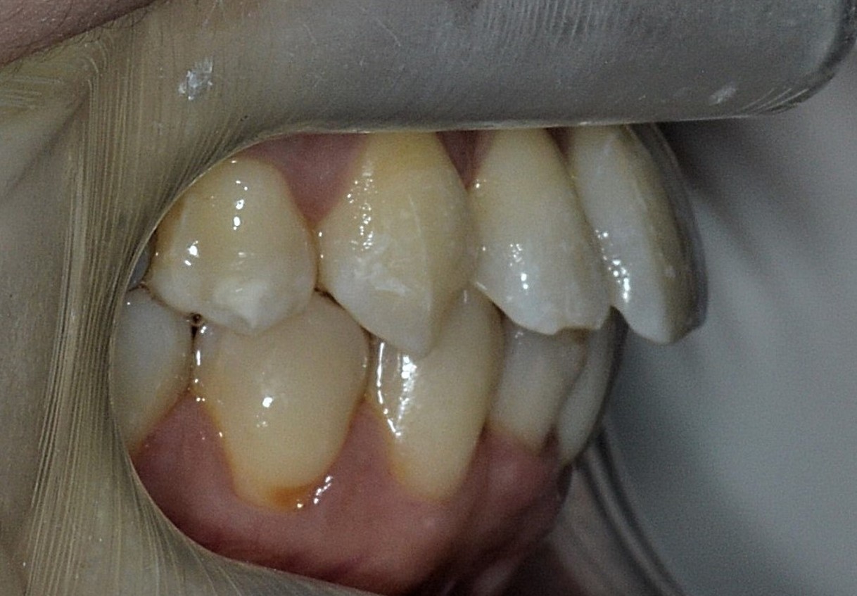
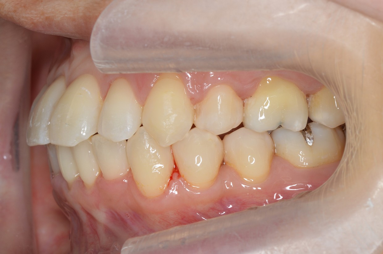
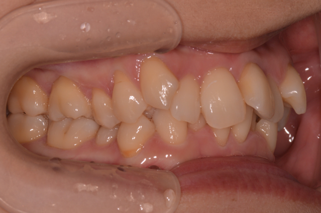
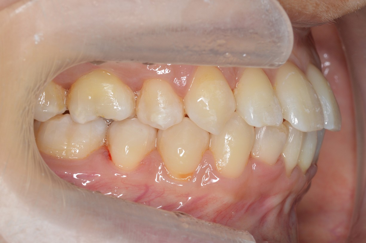
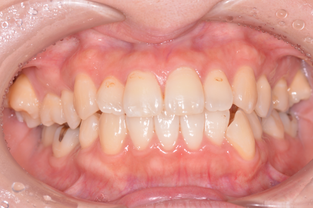
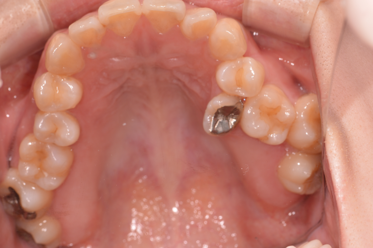
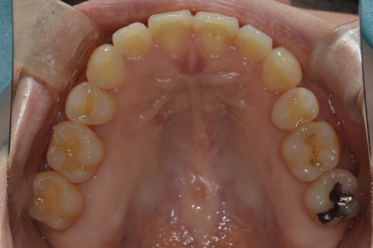
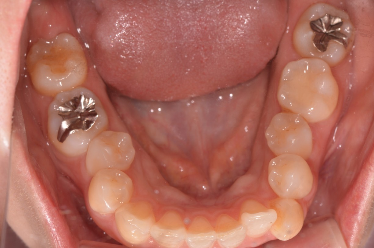
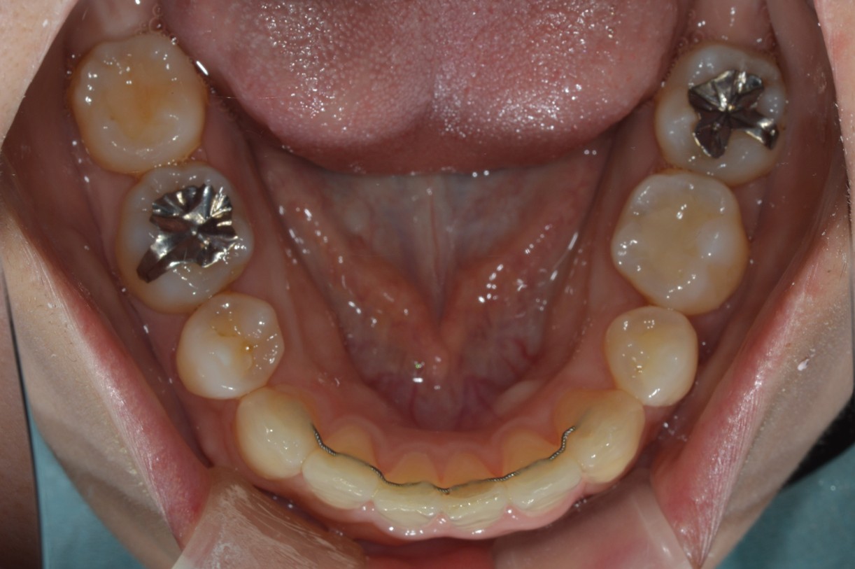
矯正治療の症例
症例1














| 項目 | 詳細 |
|---|---|
| 患者様データ | 30代 女性 |
| 来院時の主訴 | 「上下のガタガタ歯並びと噛み合わせが気になる。」 |
| 矯正法 | 上の歯2本を抜歯しての矯正 |
| 通院期間 | 2年9ヶ月 |
| 治療費 | 総額:1,070,000円(税抜) 【内訳】 精密検査50,000円、メタルワイヤー矯正800,000円、月に1度の調整料5,000円、後戻り防止のリテーナー35,000円×2 |
| リスクと副作用 |
①歯を動かす事による痛みがあります。また、装置に慣れるまでは、口内炎ができやすいです。 ②歯肉が退縮するリスクがあります。装置が全ての歯に付くので、ハミガキが難しくなります。 ③長期的なメインテナンスが必要 |
| ここがこだわりのポイント!☝ |
この患者様の場合、歯並びのガタガタが強かったことや、抜歯したスペースを埋めるのに時間がかりました。ホームケアも大変だったと思いますが、とてもきれいな歯並びに改善することができました。 |
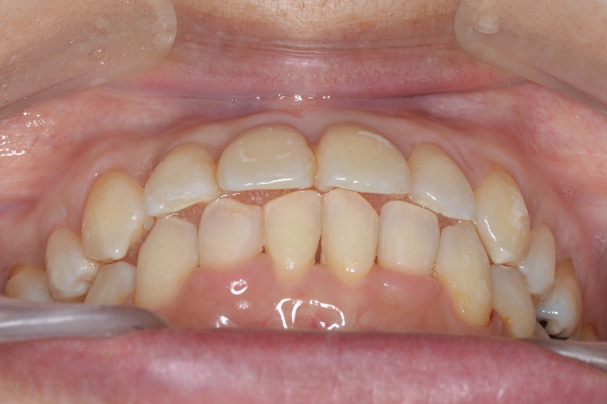
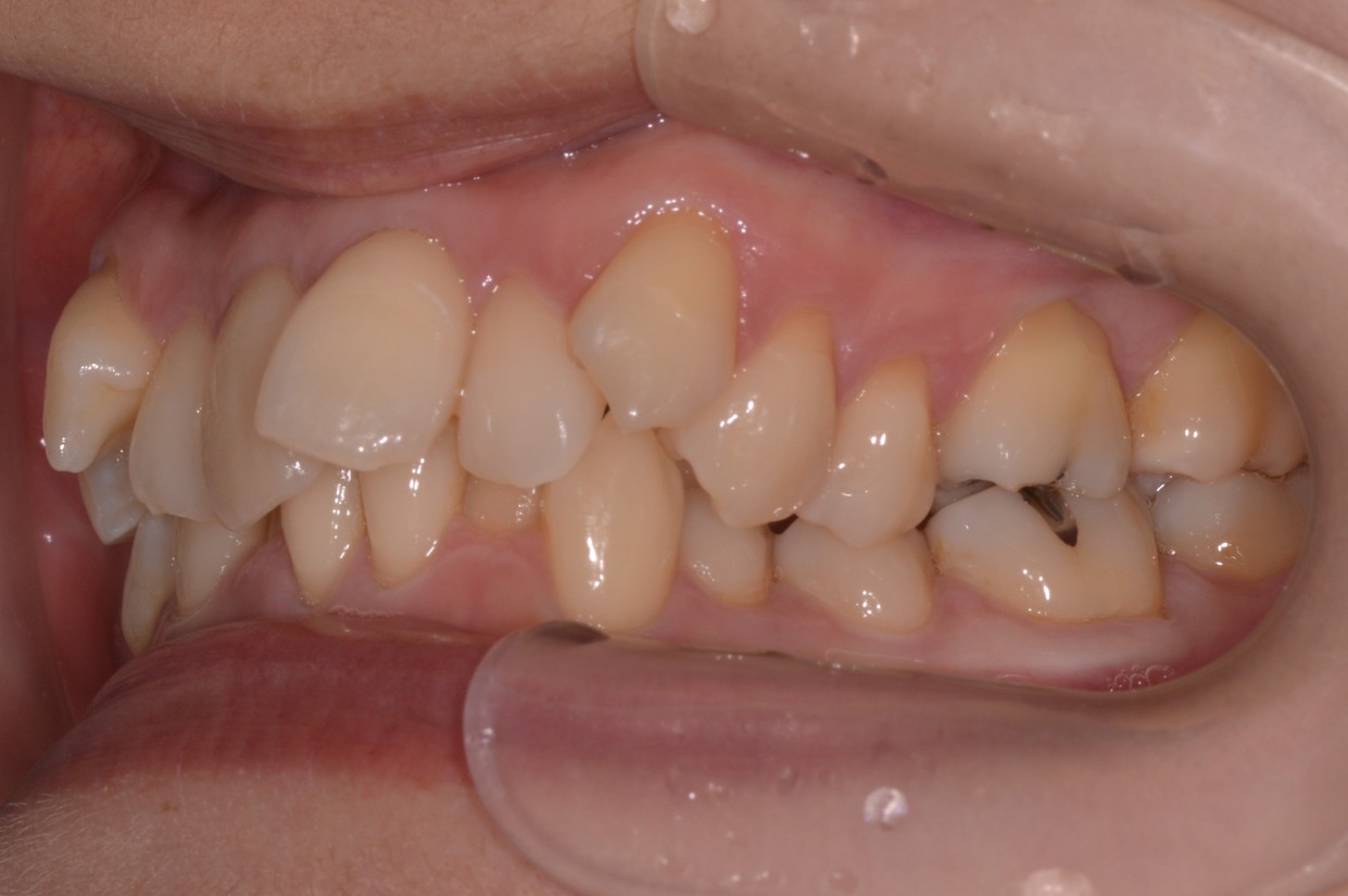
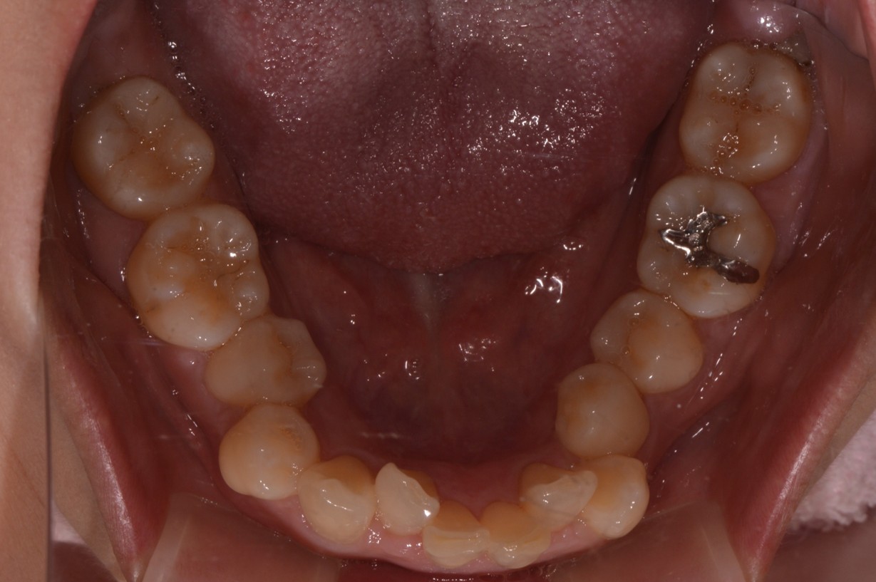
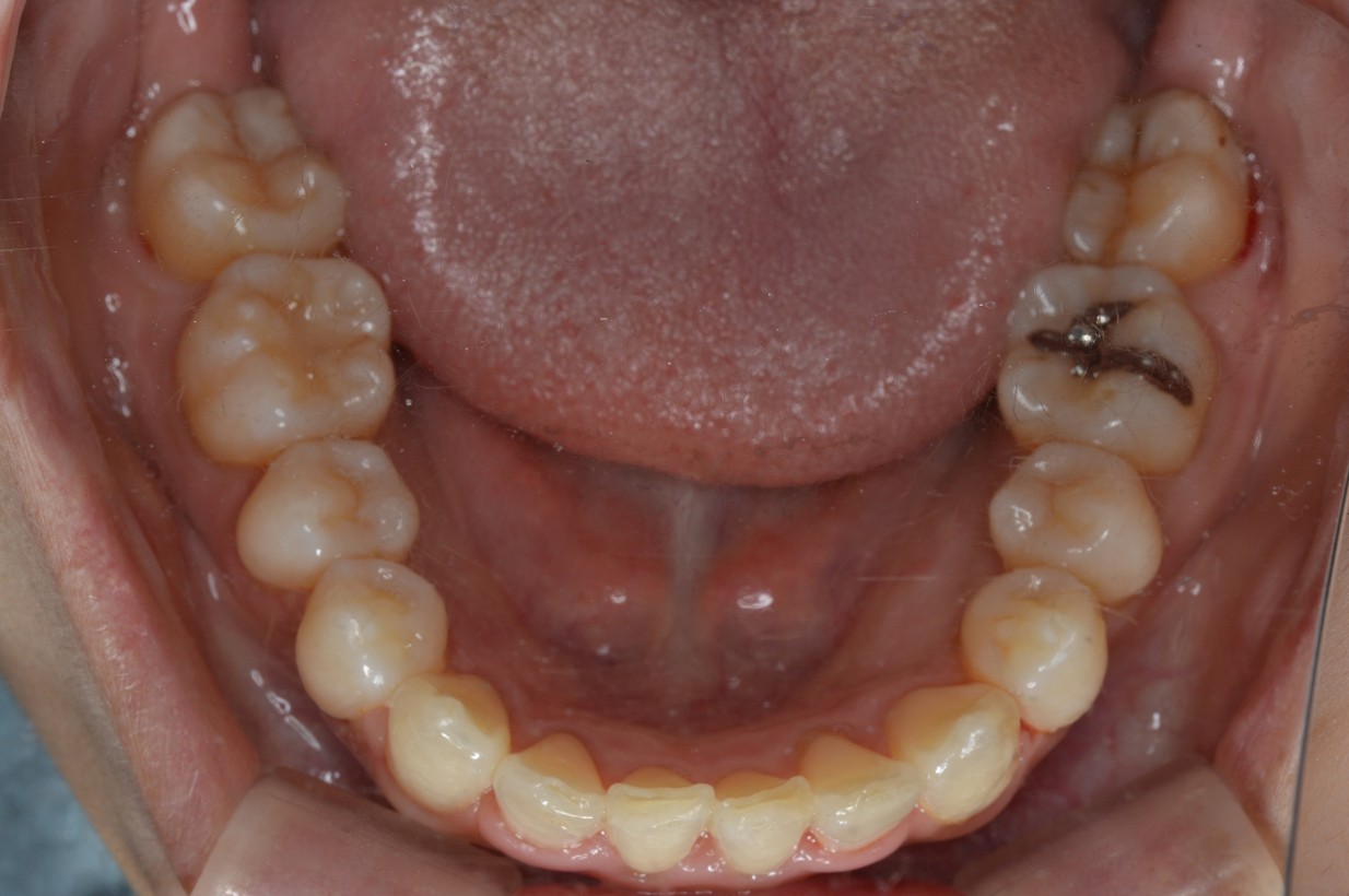
症例2






| 項目 | 詳細 |
|---|---|
| 患者様データ | 30代 女性 |
| 来院時の主訴 | 「右上の、内側に生えている歯が邪魔。」 |
| 矯正法 | 上の歯2本、下の歯2本、親知らず3本を抜歯しての矯正 |
| 通院期間 | 3年6ヶ月 |
| 治療費 | 総額:1,230,000円(税抜) 【内訳】 精密検査50,000円、メタルワイヤー矯正800,000円、月に1度の調整料5,000円、後戻り防止のリテーナー35,000円×2 |
| リスクと副作用 |
①歯を動かす事による痛みがあります。また、装置に慣れるまでは、口内炎ができやすいです。 ②歯肉が退縮するリスクがあります。装置が全ての歯に付くので、ハミガキが難しくなります。 ③長期的なメインテナンスが必要 |
| ここがこだわりのポイント!☝ | こちらの患者様は上の歯が1本内側に生えていましたが、奥歯の噛み合わせの方が問題でした。ハサミ状咬合といい、奥歯が極端に外側に向いており、下の歯と噛み合っていない状態でした。ハサミ状咬合は長期的にみると、前歯に大きな負担がかかったり、磨きにくい事による虫歯や歯周病になりやすいなどのリスクがあります。治療期間はかかりましたが、見た目の良さだけでなく、機能的にも改善しました。 |
