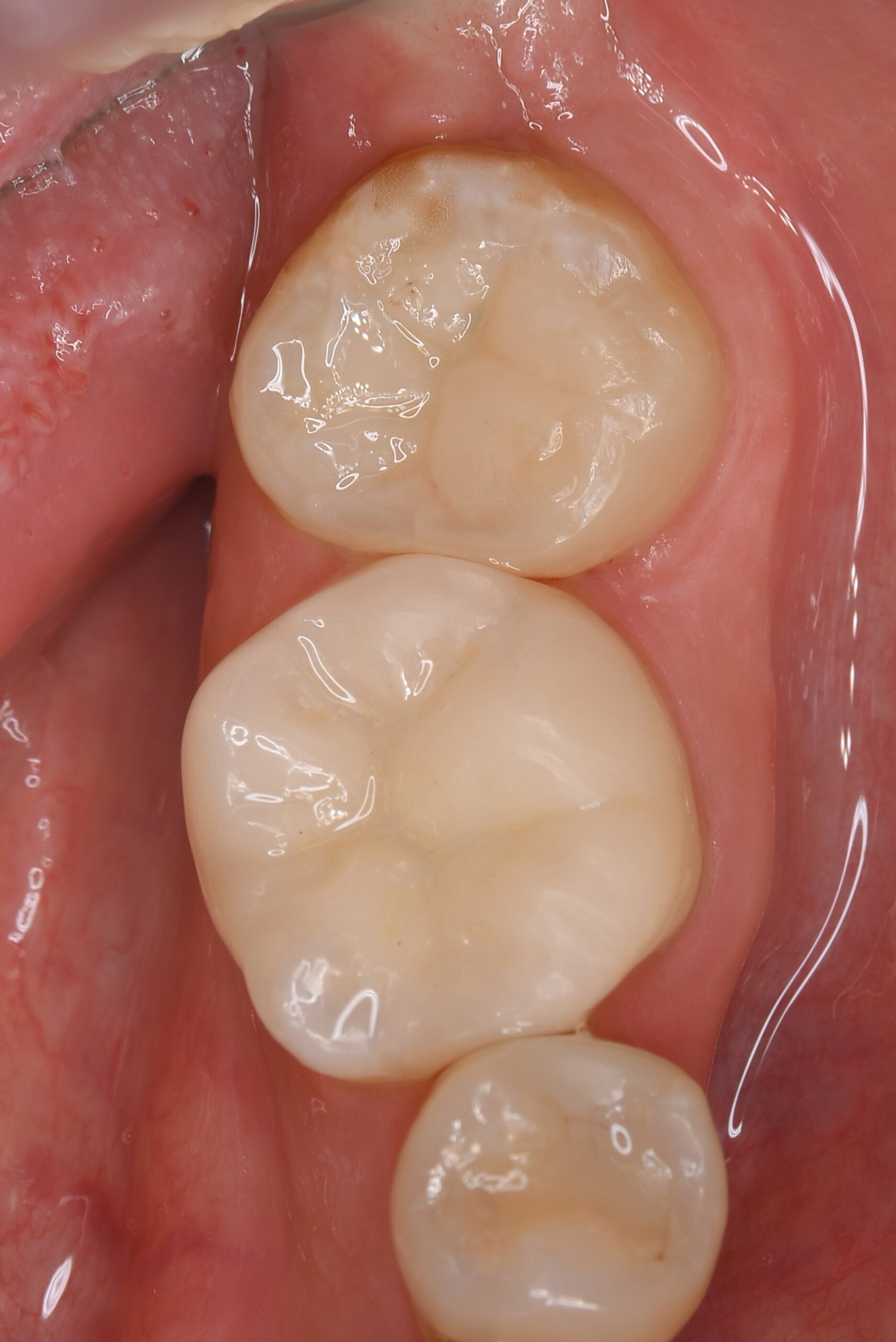
歯牙移植の症例
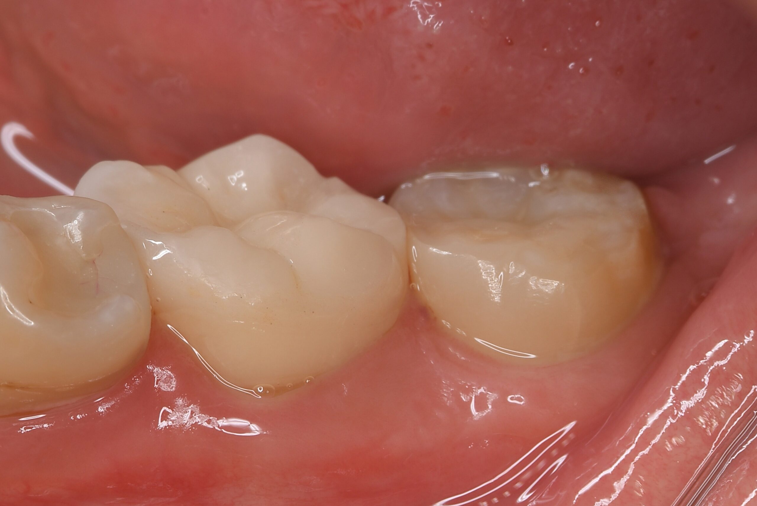
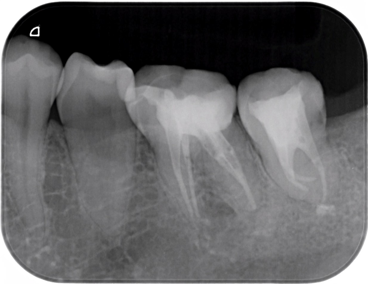
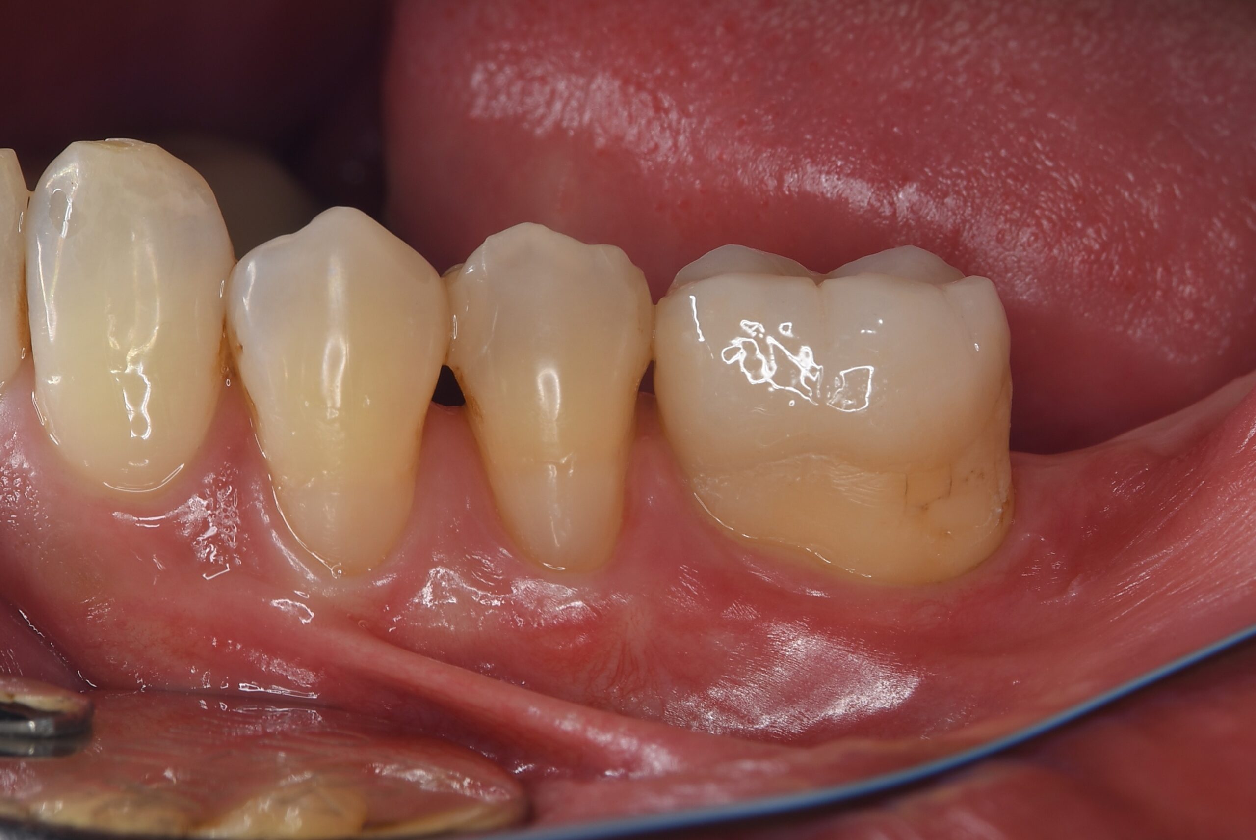
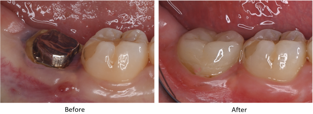
症例1






治療の流れ
| 項目 | 詳細 |
|---|---|
| 患者様データ | 30代 女性 |
| 来院時の主訴 | 「左下の歯グキが腫れてきた。」 |
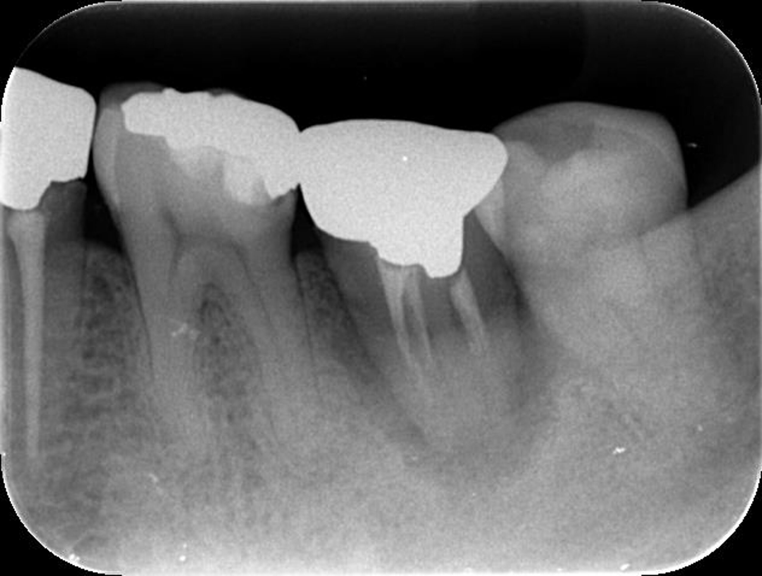
| 医院の診断 | 慢性根尖性歯周炎、歯根破折 |
| 通院期間 | 8か月 |
| 来院回数 | 10回 |
| 治療費 | 総額:425,000円(税抜) 【内訳】 歯牙移植150,000円、精密根管治療80,000円(大臼歯)、ファイバーポストコア20,000円×2、セラミック治療85,000円、ダイレクトボンディング70,000円 |
| リスクと副作用 | ①根管治療歯は長期的には破折するリスク ②長期的なメインテナンスが必要 ③歯根の外部吸収 |
| ここがこだわりのポイント!☝ |
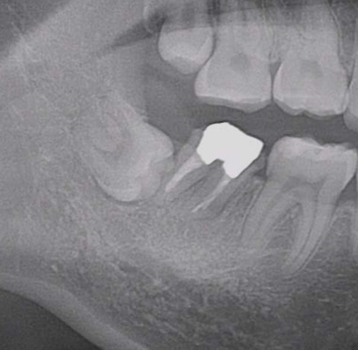
術前に撮影したCT画像から3Dプリンターを用いて親知らずのレプリカを作製することで、 親知らずが乾燥することを防ぎ、成功率が上がるよう努力しています。 |
症例2




| 項目 | 詳細 |
|---|---|
| 患者様データ | 40代 男性 |
| 来院時の主訴 | 「左下が痛くて噛めない。」 |
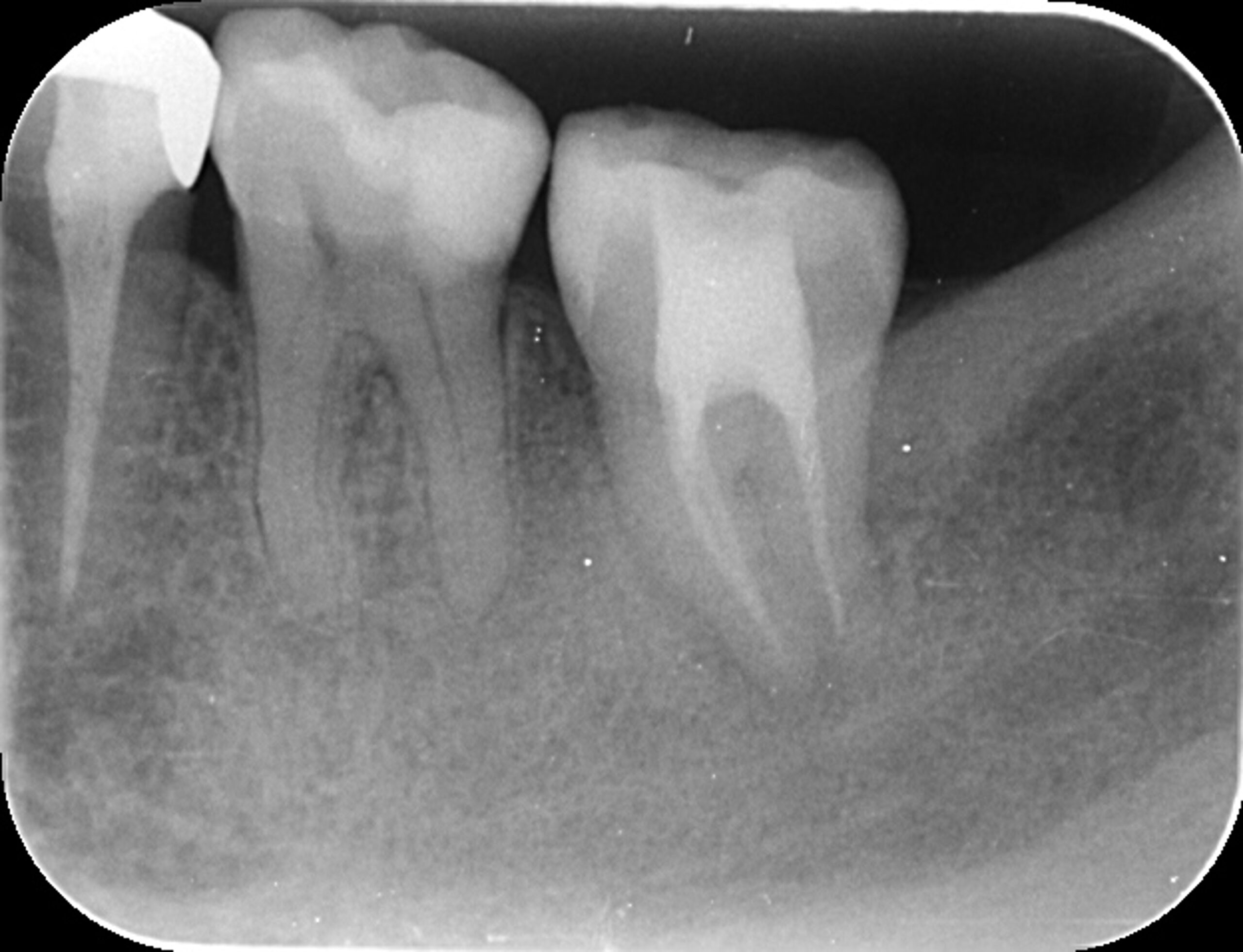
| 医院の診断 | 左下第一大臼歯歯根破折、慢性根尖性歯周炎 |
| 通院期間 | 6か月 |
| 来院回数 | 9回 |
| 治療費 | 総額:275,000円(税抜) 【内訳】 歯牙移植150,000円、ファイバーポストコア20,000円、セラミック治療85,000円、歯頸部ダイレクトボンディング10,000円×2 |
| リスクと副作用 | ①根管治療歯は長期的には破折するリスク ②長期的なメインテナンスが必要 ③歯根の外部吸収 |
| ここがこだわりのポイント!☝ |
抜歯が必要になった際に余っている親知らずがあれば移植歯として利用することができます。 術前に撮影したCT画像から3Dプリンターを用いて親知らずのレプリカを作製することで、親知らずが乾燥することを防ぎ、成功率が上がるよう努力しています。 |
症例3






治療の流れ
親知らずの抜歯
| 項目 | 詳細 |
|---|---|
| 患者様データ | 40代 女性 |
| 来院時の主訴 | 「左側奥歯で噛むと痛い。」 |
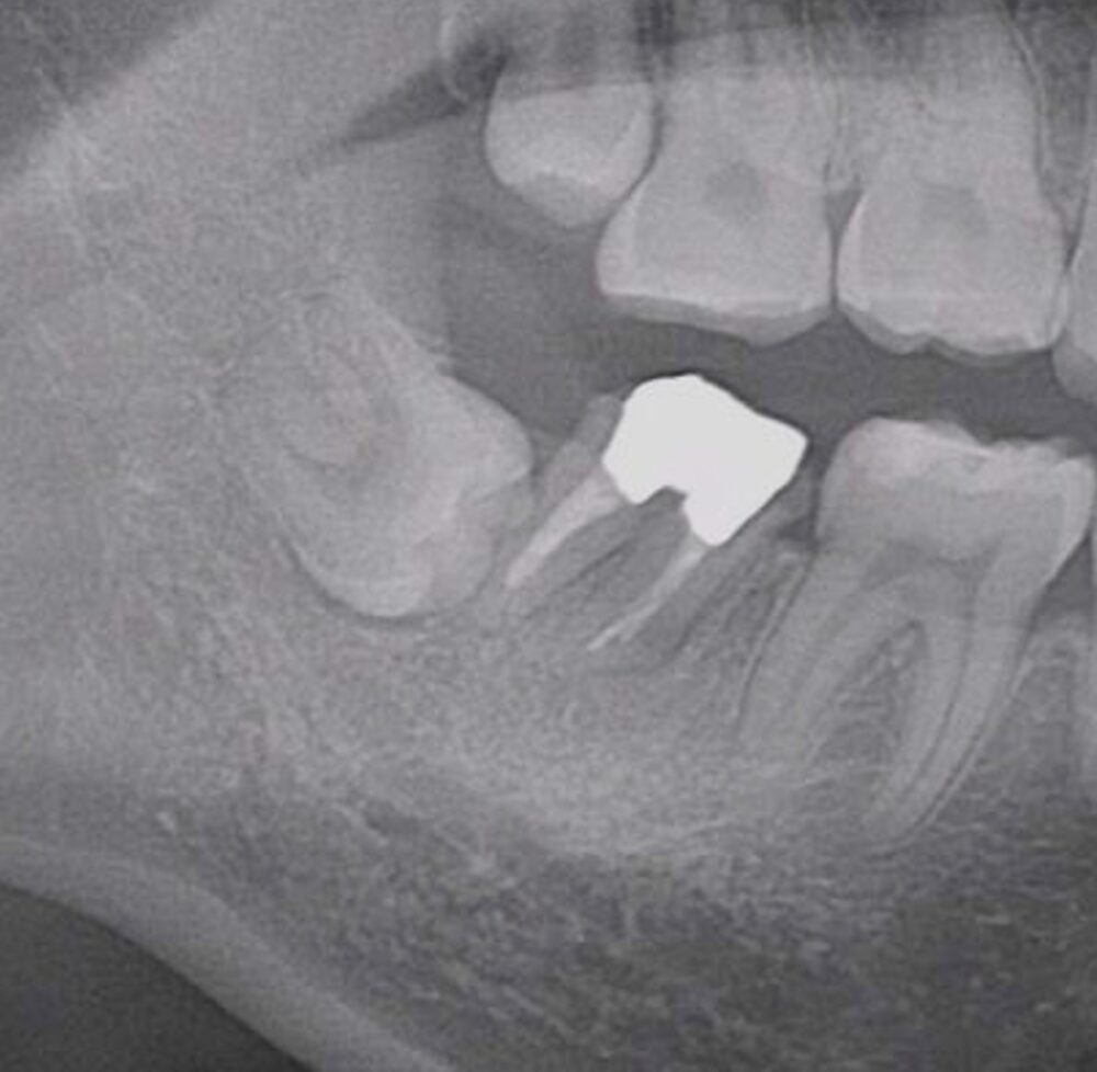
| 医院の診断 | 歯根破折、慢性根尖性歯周炎 |
| 通院期間 | 6か月 |
| 来院回数 | 9回 |
| 治療費 | 総額:330,000円(税抜) 【内訳】 歯牙移植150,000円、ファイバーポストコア20,000円、ダイレクトボンディング80,000円×2 |
| リスクと副作用 | ①根管治療歯は長期的には破折するリスク ②長期的なメインテナンスが必要 ③歯根の外部吸収 |
| ここがこだわりのポイント!☝ |
抜歯が必要になった際に余っている親知らずがあれば移植歯として利用することができます。 術前に撮影したCT画像から3Dプリンターを用いて親知らずのレプリカを作製することで、親知らずが乾燥することを防ぎ、成功率が上がるよう努力しています。 |
症例4
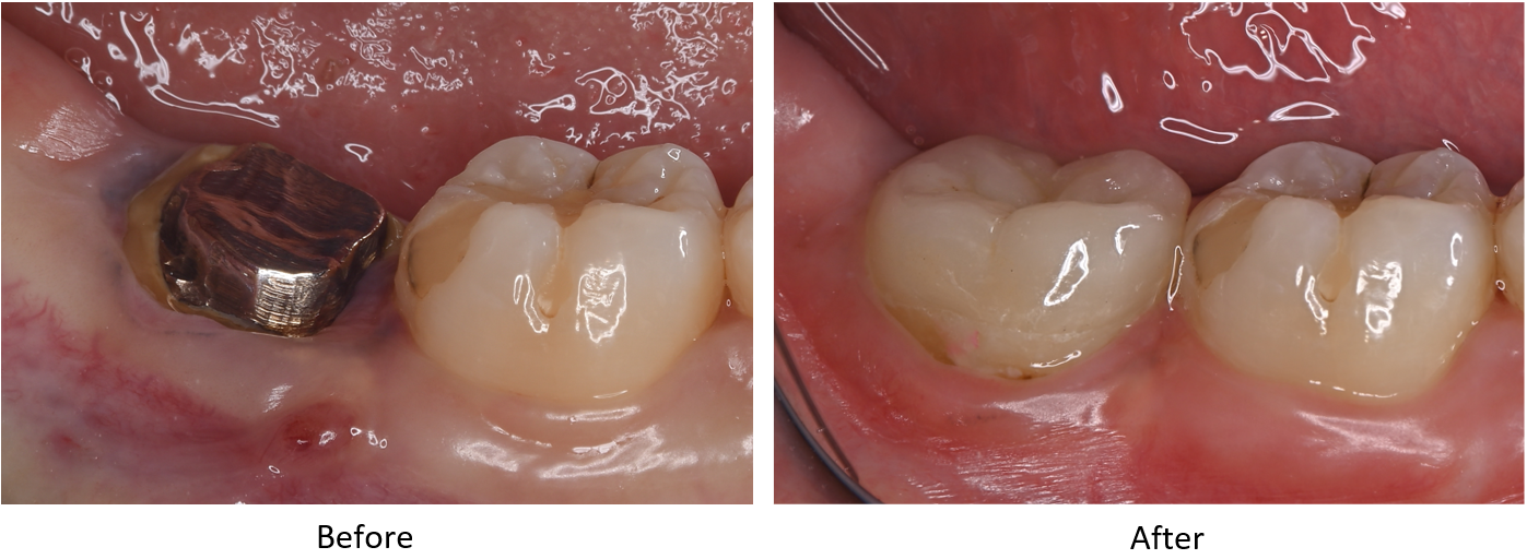
右下親知らずを右下第二大臼歯へ移植
| 項目 | 詳細 |
|---|---|
| 患者様データ | 20代 女性 |
| 来院時の主訴 | 「右下奥歯で噛むと痛い。」 |
| 医院の診断 | 歯根破折 |
| 通院期間 | 6か月 |
| 来院回数 | 10回 |
| 治療費 | 総額:255,000円(税抜) 【内訳】 歯牙移植150,000円、ファイバーポストコア20,000円、セラミック治療85,000円 |
| リスクと副作用 | ①根管治療歯は長期的には破折するリスク ②長期的なメインテナンスが必要 ③歯根の外部吸収 |
| ここがこだわりのポイント!☝ |
抜歯が必要になった際に余っている親知らずがあれば移植歯として利用することができます。 術前に撮影したCT画像から3Dプリンターを用いて親知らずのレプリカを作製することで、親知らずが乾燥することを防ぎ、成功率が上がるよう努力しています。 |













