意図的歯牙再植の症例
症例1






治療の流れ
| 項目 | 詳細 |
|---|---|
| 患者様データ | 60代 女性 |
| 来院時の主訴 | 「左上の歯が噛むと違和感がある。」 |
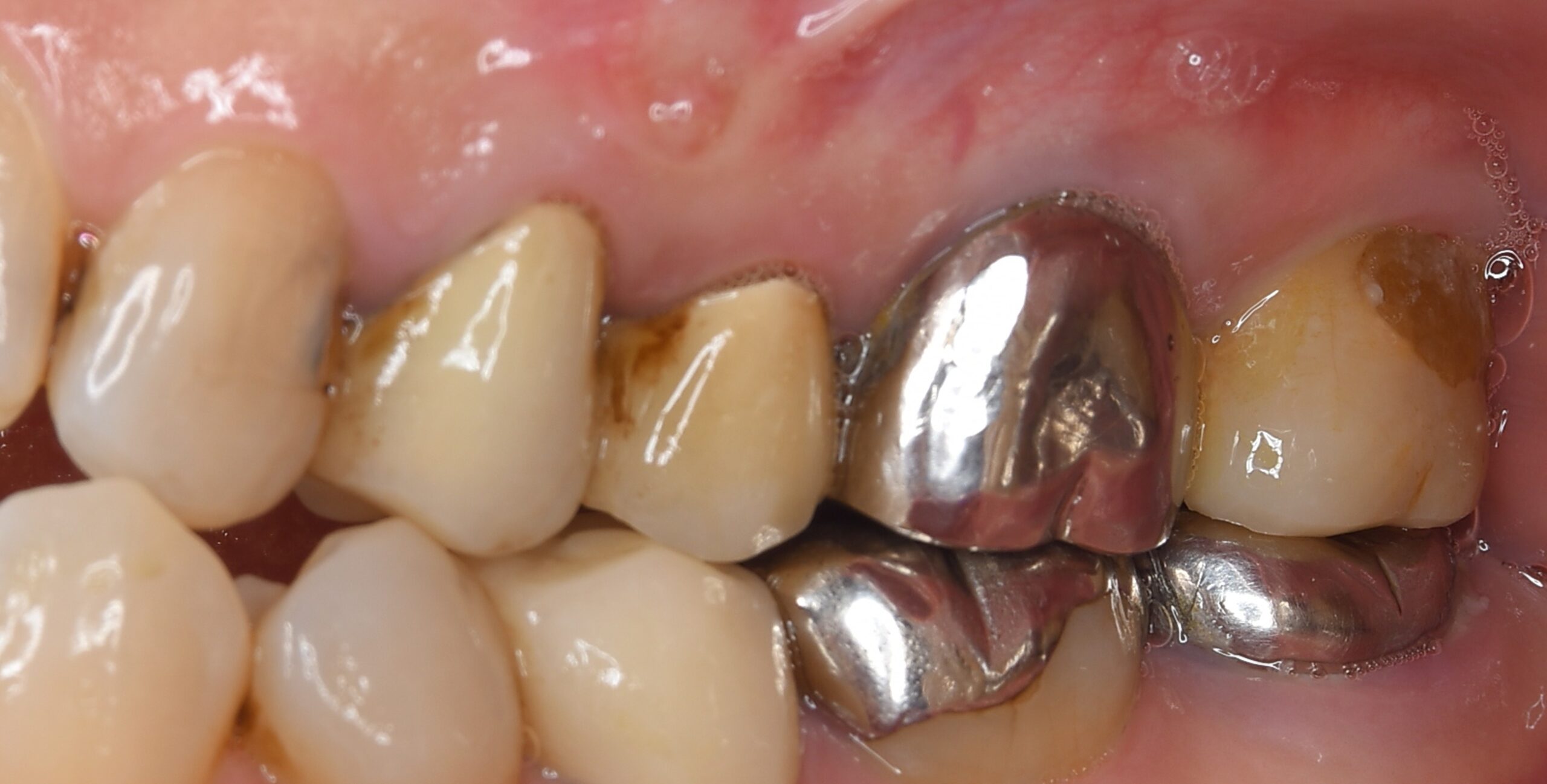
| 医院の診断 | 虫歯の再発、重度の歯周病を併発した慢性根尖性歯周炎 |
| 通院期間 | 1年間 |
| 来院回数 | 20回 |
| 治療費 | 総額:1,120,000円(税抜) 【内訳】 精密感染根管治療80,000円(小臼歯)×2+100,000円(大臼歯)×2、歯牙再植(大臼歯)80,000円 ファイバーポストコア20,000円×4、セラミック治療120,000円×5 |
| リスクと副作用 | ①根管治療歯は長期的には破折するリスク ②長期的なメインテナンスが必要 |
| ここがこだわりのポイント!☝ |
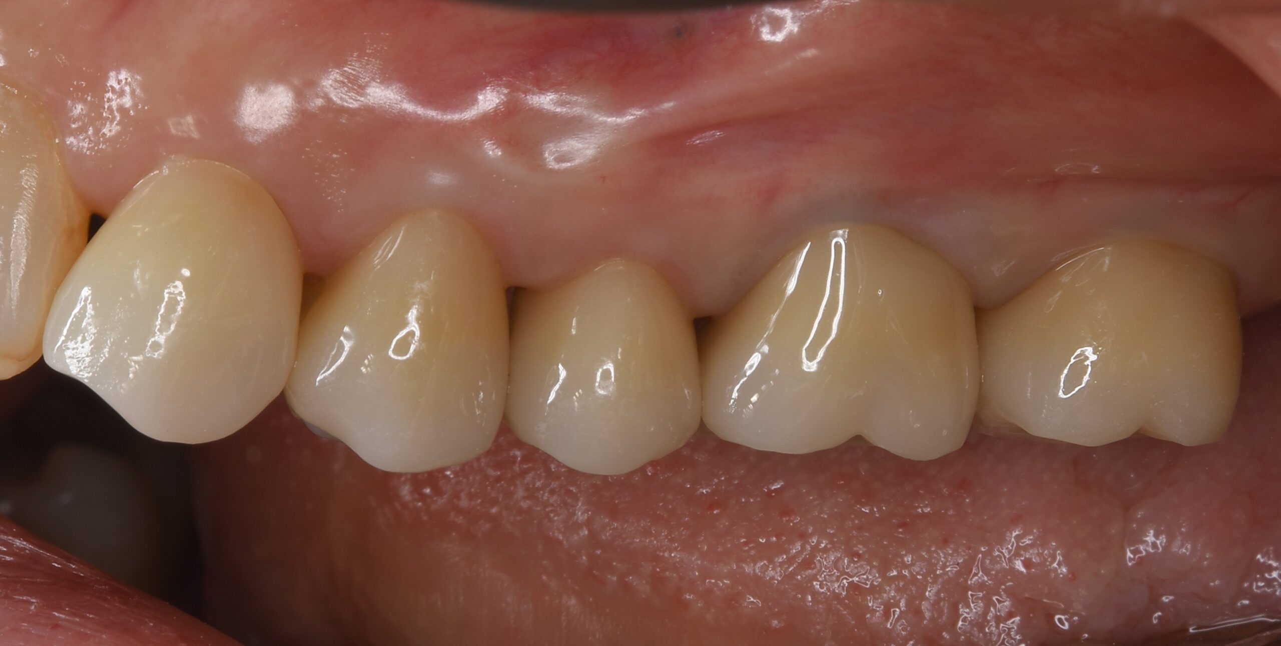
一般的に歯周病と根尖病変の混合病変は非常にシビアな状態と言われています。 この患者様の場合、根管治療だけでは歯の保存は不可能だったため、一度歯を抜歯し綺麗にしてから戻す歯牙再植という手法を用いて歯の保存を試みました。患者様の日々の歯磨きの努力もあり、健全な状態に改善することができました。 |
症例2
| Before | After |
![]() |
![]() |
![]() |
![]() |
治療の流れ
| 項目 | 詳細 |
|---|---|
| 患者様データ | 60代 男性 |
| 来院時の主訴 | 「右下の歯が噛むと痛い。」 |
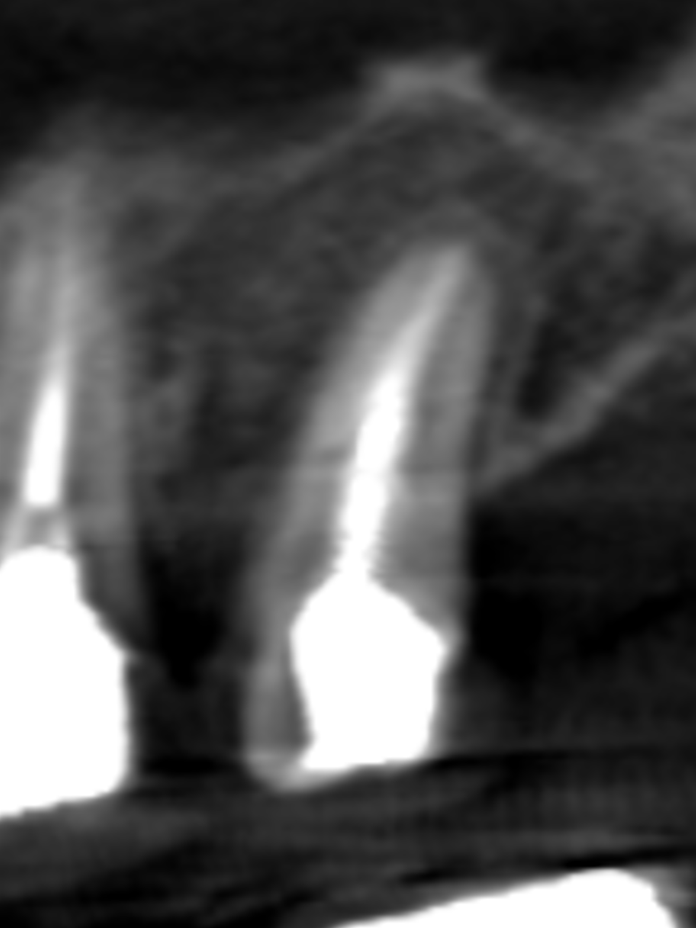
| 医院の診断 | セメント質剥離を併発した歯根破折 |
| 通院期間 | 1年間 |
| 来院回数 | 6回 |
| 治療費 | 総額:270,000円(税抜) 【内訳】 精密根管治療80,000円+歯牙再植100,000円、ファイバーポストコア20,000円、ダイレクトボンディング治療70,000円 |
| リスクと副作用 | ①根管治療歯は長期的には破折するリスク ②長期的なメインテナンスが必要 |
| ここがこだわりのポイント!☝ |
すでに歯根破折を起こしている歯のため、かなりシビアな状態ではありますが、患者様の強い要望により歯牙再植を応用した方法により歯の保存を行いました。 |








