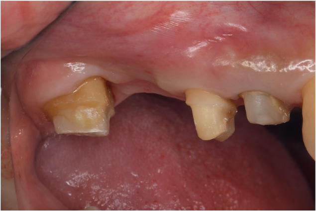
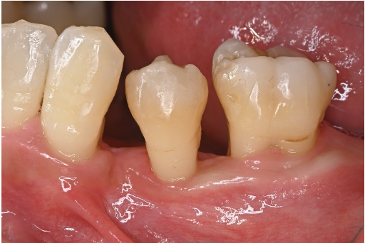
症例1
| 術前 | 術後 |
|---|---|
![]() |
![]() |
| 項目 | 詳細 |
|---|---|
| 患者様データ | 50代 女性 |
| 来院時の主訴 | 「歯がグラグラする。噛むと痛い。」 |
| 医院の診断 | 重度の歯周病 |
| 通院期間 |
1年半 |
| 来院回数 | 10回 |
| 治療費 | 総額:200,000円(税抜)+歯周基本治療や補綴治療は保険適用診療 【内訳】 保険適用診療: 歯周病検査・歯磨きや生活習慣指導・歯石取りクリーニング・ブリッジ補綴治療 自由診療: 歯周組織再生療法200,000円(費用は範囲によって異なります。) |
| リスクと副作用 | 定期的なメインテナンスが必要、正しい歯磨き習慣・生活習慣が必要不可欠 |
| ここがこだわりのポイント!☝ | 根尖にまで及ぶ歯周病がありましたが、綿密な術前検査で神経を残せる可能性があったため神経を残して治療しました。術前検査で歯の周囲に4〜11mmの歯周ポケットがありましたが全周3mm以下に改善しました。健康な歯周組織(骨・歯肉)を獲得することができ、患者様の主訴である歯の揺れもなくすことができました。 |
症例2




| 項目 | 詳細 |
|---|---|
| 患者様データ | 50代 女性 |
| 来院時の主訴 | 「歯茎から出血する。口の中が全体的に痛い。」 |
| 医院の診断 | 重度の歯周病(壊死性潰瘍性歯周炎) |
| 通院期間 |
2年 |
| 来院回数 | 24回 |
| 治療費 | 総額:220,000円(税抜)+歯周基本治療は保険適用診療 【内訳】 保険適用診療:歯周病検査・歯磨きや生活習慣指導・歯石取りクリーニング 自由診療:歯周組織再生療法220,000円(費用は範囲によって異なります。) |
| リスクと副作用 | 定期的なメインテナンスが必要、正しい歯磨き習慣・生活習慣が必要不可欠 |
| ここがこだわりのポイント!☝ | 少しチャレンジングは症例ではありますが、歯周病によって無くなってしまった歯周組織(歯根膜・セメント質・骨・歯肉)が手術により改善しました。 |
症例3




| 項目 | 詳細 |
|---|---|
| 患者様データ | 40代 男性 |
| 来院時の主訴 | 「歯がグラグラする。」 |
| 医院の診断 | 重度の歯周病 |
| 通院期間 |
1年半 |
| 来院回数 | 20回 |
| 治療費 | 総額:240,000円(税抜)+歯周基本治療は保険適用診療 【内訳】 保険適用診療:歯周病検査・歯磨きや生活習慣指導・歯石取りクリーニング 自由診療:歯周組織再生療法240,000円(費用は範囲によって異なります。) |
| リスクと副作用 | 定期的なメインテナンスが必要、正しい歯磨き習慣・生活習慣が必要不可欠 |
| ここがこだわりのポイント!☝ | 少しチャレンジングは症例ではありますが、歯周病によって無くなってしまった歯周組織(歯根膜・セメント質・骨・歯肉)が手術により改善しました。 |




