歯肉退縮の治療症例
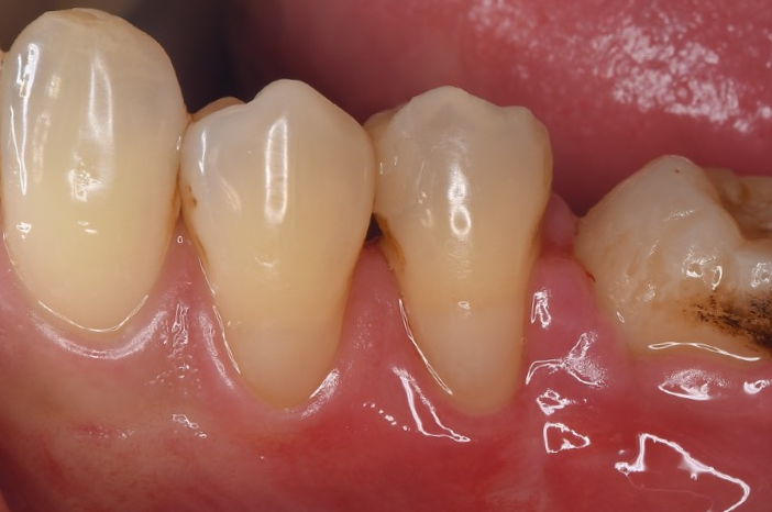
症例1


| 項目 | 詳細 |
|---|---|
| 患者様データ | 50代 女性 |
| 来院時の主訴 | 「昔前歯をぶつけた。歯茎下がりを治したい。」 |
| 医院の診断 | 歯肉退縮・外傷による歯牙破折 |
| 通院期間 | 6か月 |
| 来院回数 | 13回 |
| 治療費 | 総額:410,000円(税抜) 【内訳】 歯肉結合組織移植術250,000円 セラミック治療160,000円 |
| リスクと副作用 | 定期的なメンテナンスが必要、術後若干の腫れと痛み |
| ここがこだわりのポイント!☝ | 歯茎下がりは80%の確率で悪化する病気です。悪化を未然に予防するよう歯肉の厚みを確保しながら、前歯の見た目の改善を行いました。 |
症例2


| 項目 | 詳細 |
|---|---|
| 患者様データ | 60代 男性 |
| 来院時の主訴 | 「歯茎が腫れた。」 |
| 医院の診断 | 歯肉退縮・セメント質剥離による排膿 |
| 通院期間 | 4か月 |
| 来院回数 | 6回 |
| 治療費 | 総額:150,000円(税抜) 【内訳】 歯周組織再生療法+歯肉結合組織移植術150,000円 |
| リスクと副作用 | 定期的なメンテナンスが必要、術後若干の腫れと痛み |
| ここがこだわりのポイント!☝ | 治療後、歯茎下がりが解消し、歯肉も健康な状態となった。 |
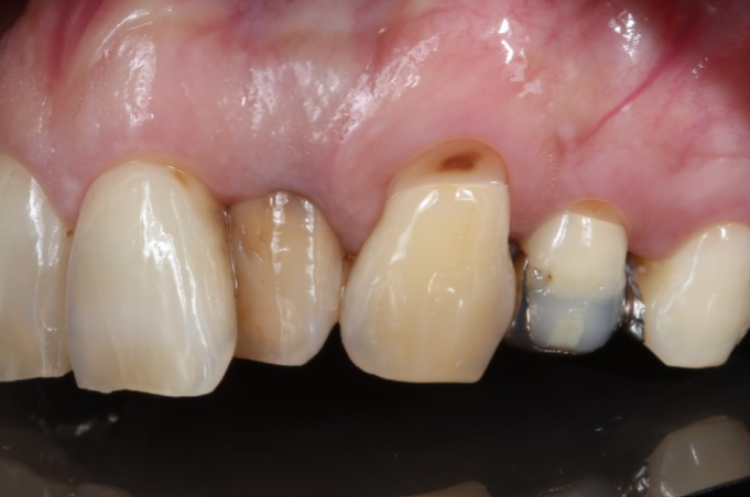
症例3




| 項目 | 詳細 |
|---|---|
| 患者様データ | 50代 男性 |
| 来院時の主訴 | 「左下の歯が歯磨きでしみる。」 |
| 医院の診断 | 歯肉退縮・歯周病(根分岐部病変) |
| 通院期間 | 1年 |
| 来院回数 | 12回 |
| 治療費 | 総額:630,000円(税抜) 【内訳】 歯周組織再生療法220,000円 歯肉結合組織移植術170,000円 セラミック治療120,000円×2 |
| リスクと副作用 | 定期的なメンテナンスが必要、術後若干の腫れと痛み |
| ここがこだわりのポイント!☝ | 歯周病と歯茎下がりを同時に解決しました。歯肉の厚みが増したことで、歯磨きがしやすくなり、歯がしみる症状も改善しました。 |
症例4


| 項目 | 詳細 |
|---|---|
| 患者様データ | 40代 男性 |
| 来院時の主訴 | 「左下が冷たいものがしみる。」 |
| 医院の診断 | 下顎左側第1・第2小臼歯の非う蝕性歯頸部歯質欠損と歯肉退縮 |
| 通院期間 | 1日 |
| 来院回数 | 1回 |
| 治療費 | 総額:20,000円(税抜) 【内訳】 歯頸部ダイレクトボンディング10,000円×2 |
| リスクと副作用 | 定期的なメインテナンスが必要・長期的には着色してくる可能性あり |
| ここがこだわりのポイント!☝ | 主訴の歯肉退縮に関しては歯を削らず歯質の欠損部に詰め物をすることで、冷たいものでしみる症状が改善できました。 |
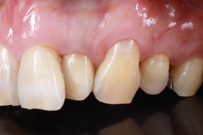
症例5


| 項目 | 詳細 |
|---|---|
| 患者様データ | 40代 男性 |
| 来院時の主訴 | 「歯が黒くなってきたのを治したい。冷たいものでしみる。」 |
| 医院の診断 | 左上側切歯は失活による変色 左上犬歯は非う蝕性歯頸部歯質欠損と歯肉退縮 左上第1小臼歯は銀歯による審美障害とう蝕 |
| 通院期間 | 3か月 |
| 来院回数 | 6回 |
| 治療費 | 総額:105,000円(税抜) 【内訳】 前歯ホワイトニング10,000円、歯頸部ダイレクトボンディング10,000円、セラミック治療85,000円・リスクと副作用:定期的なメインテナンスが必要・長期的には着色してくる可能性あり |
| リスクと副作用 | 定期的なメンテナンスが必要、術後若干の腫れと痛み |
| ここがこだわりのポイント!☝ | 歯肉退縮すると根面う蝕になりやすくなります。歯頸部のえぐれた歯肉退縮部位にCR充填し 歯磨きをしやすくすることで、根面う蝕の予防を目指しました。 |
