精密根管治療難症例の症例
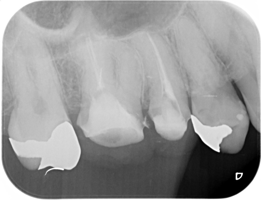
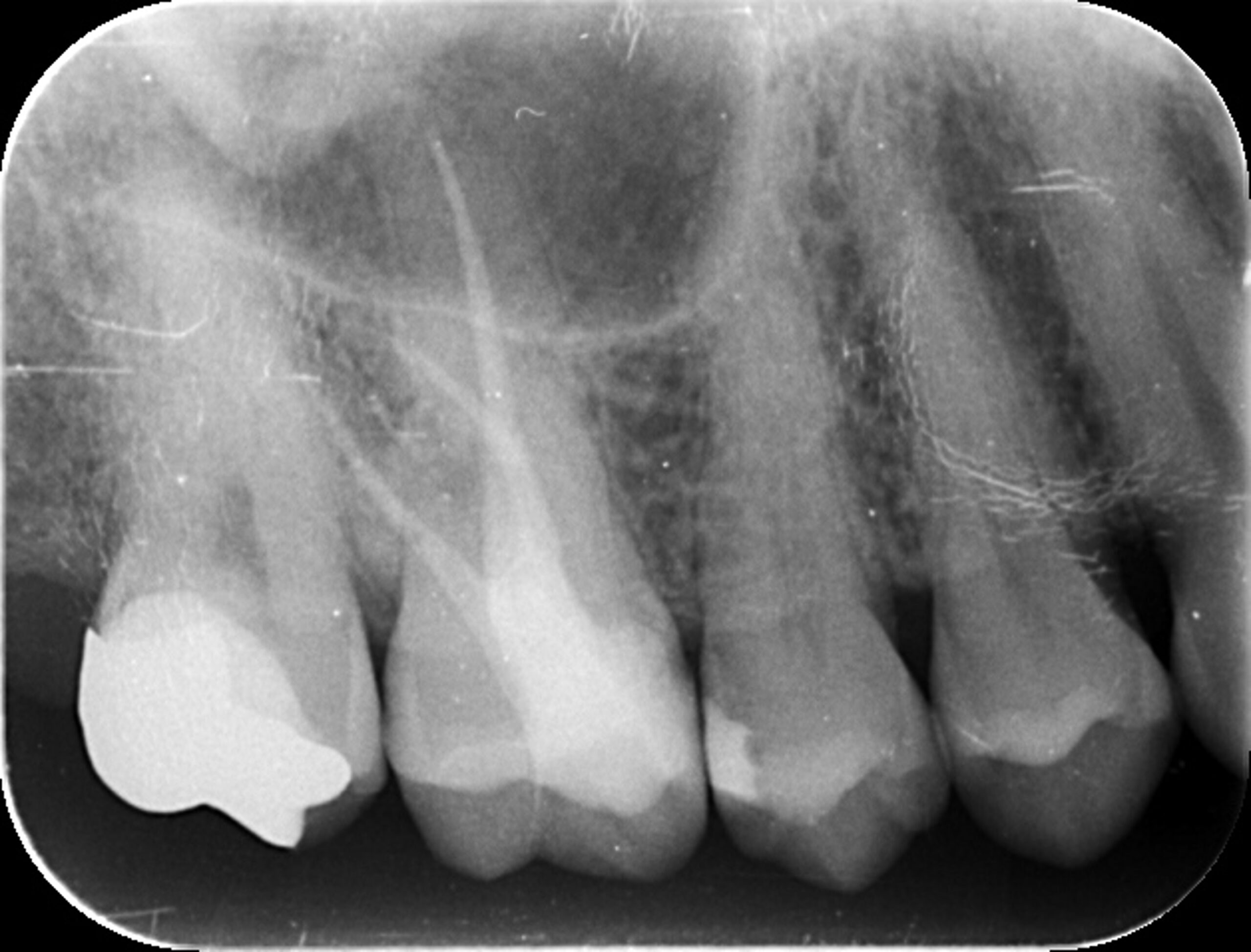
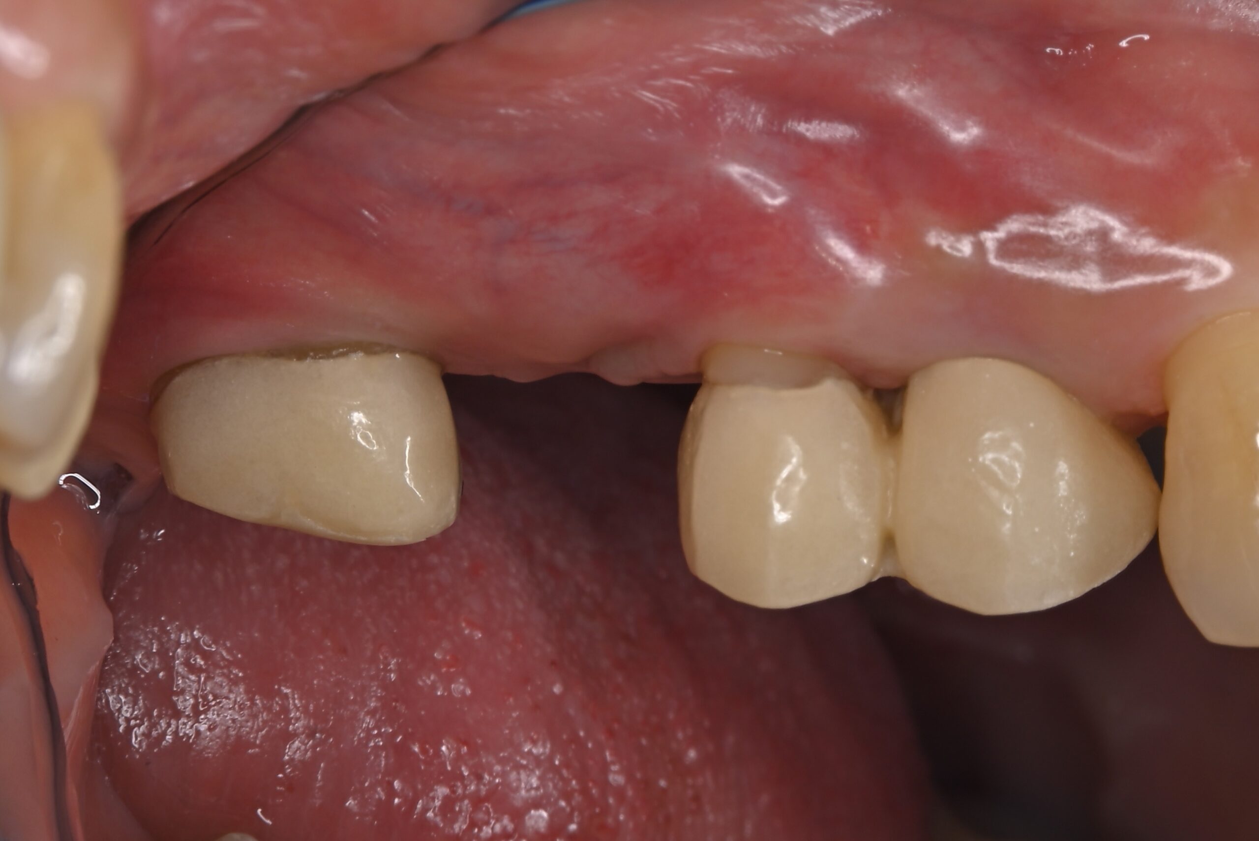
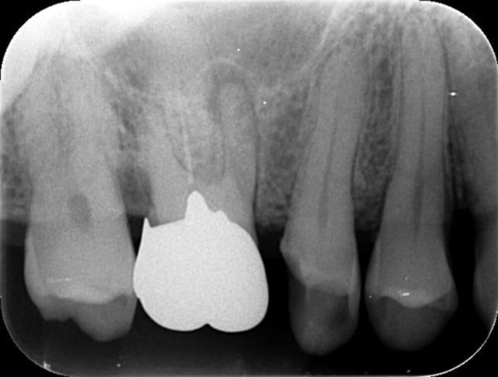
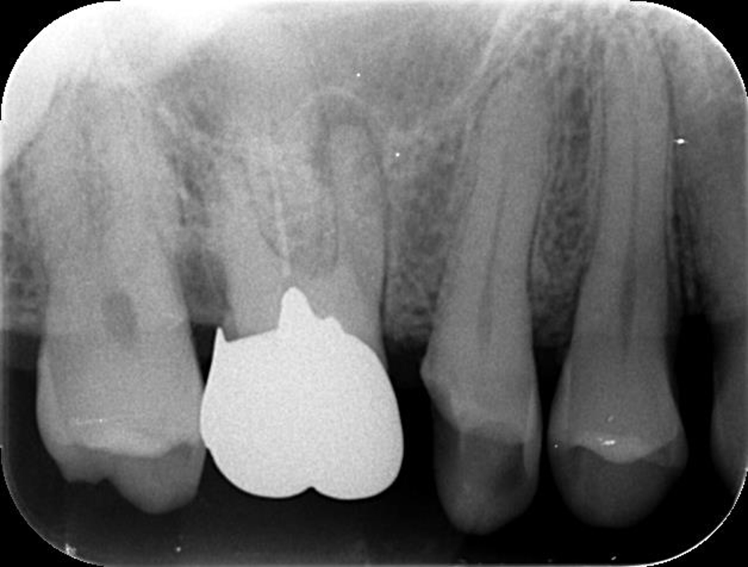
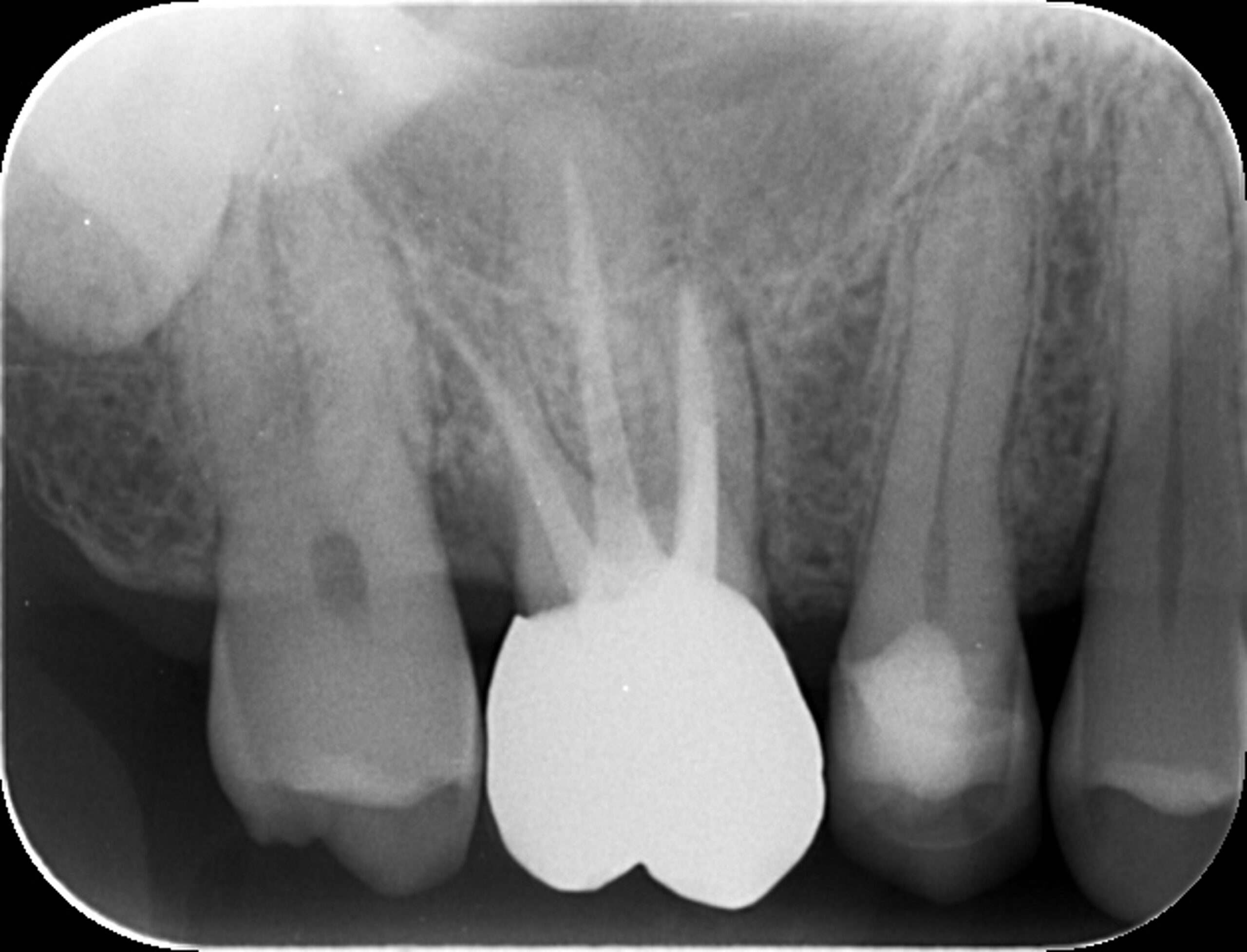
症例1:パーフォレーションリペア症例
(歯の中に大きな穴が空いてしまっているのを埋めて再生を促す治療)
|
歯に穴が空いていて骨に炎症がある状態 |
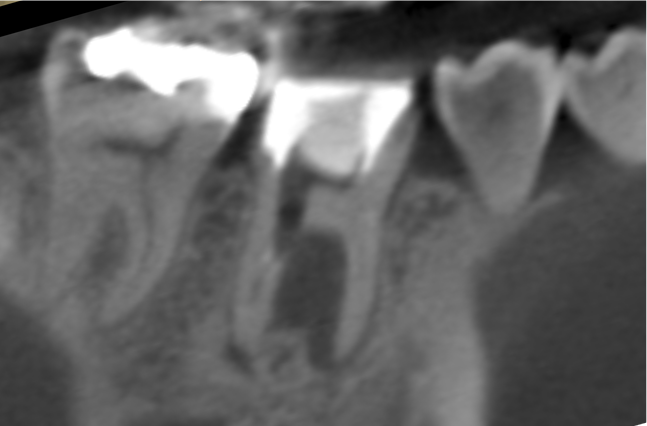
CTでも歯の周囲に骨がないのが分かる。 |
|
BEFORE |
AFTER |
|
BEFORE |
AFTER |
|
BEFORE |
AFTER |
| 項目 | 詳細 |
|---|---|
| 患者様データ | 30代 男性 |
| 来院時の主訴 | 「右下の歯をセラミックにしたい。」 |
| 医院の診断 | 虫歯の再発、慢性根尖性歯周炎、遠心根人為的穿孔 |
| 通院期間 | 6か月 |
| 来院回数 | 8回 |
| 治療費 | 総額:240,000円(税抜) 【内訳】 精密感染根管治療100,000円、ファイバーポストコア20,000円、セラミック治療120,000円 |
| リスクと副作用 | ①根管治療歯は長期的には破折するリスク ②メインテナンスが必要 |
| ここがこだわりのポイント!☝ |
人為的根穿孔を起こした部分に感染を起こしており、歯周ポケットが9㎜ありました。 ラバーダム防湿とマイクロスコープを使用して丁寧に治療を行いました。 殺菌性があり歯を補強することのできるMTAという根管充填材料を使用して、歯周ポケットは2㎜に改善しました。 |
症例2
|
BEFORE |
AFTER |
|
BEFORE |
AFTER |
| 項目 | 詳細 |
|---|---|
| 患者様データ | 80代 男性 |
| 来院時の主訴 | 「右上の奥歯が噛むと痛い。」 |
| 医院の診断 | 虫歯の再発、慢性根尖性歯周炎、炎症による歯髄狭窄 |
| 通院期間 | 6か月 |
| 来院回数 | 7回 |
| 治療費 | 総額:325,000円(税抜) 【内訳】 精密感染根管治療100,000円、ファイバーポストコア20,000円、セラミック治療120,000円+85,000円 |
| リスクと副作用 | ①根管治療歯は長期的には破折するリスク ②メインテナンスが必要 |
| ここがこだわりのポイント!☝ |
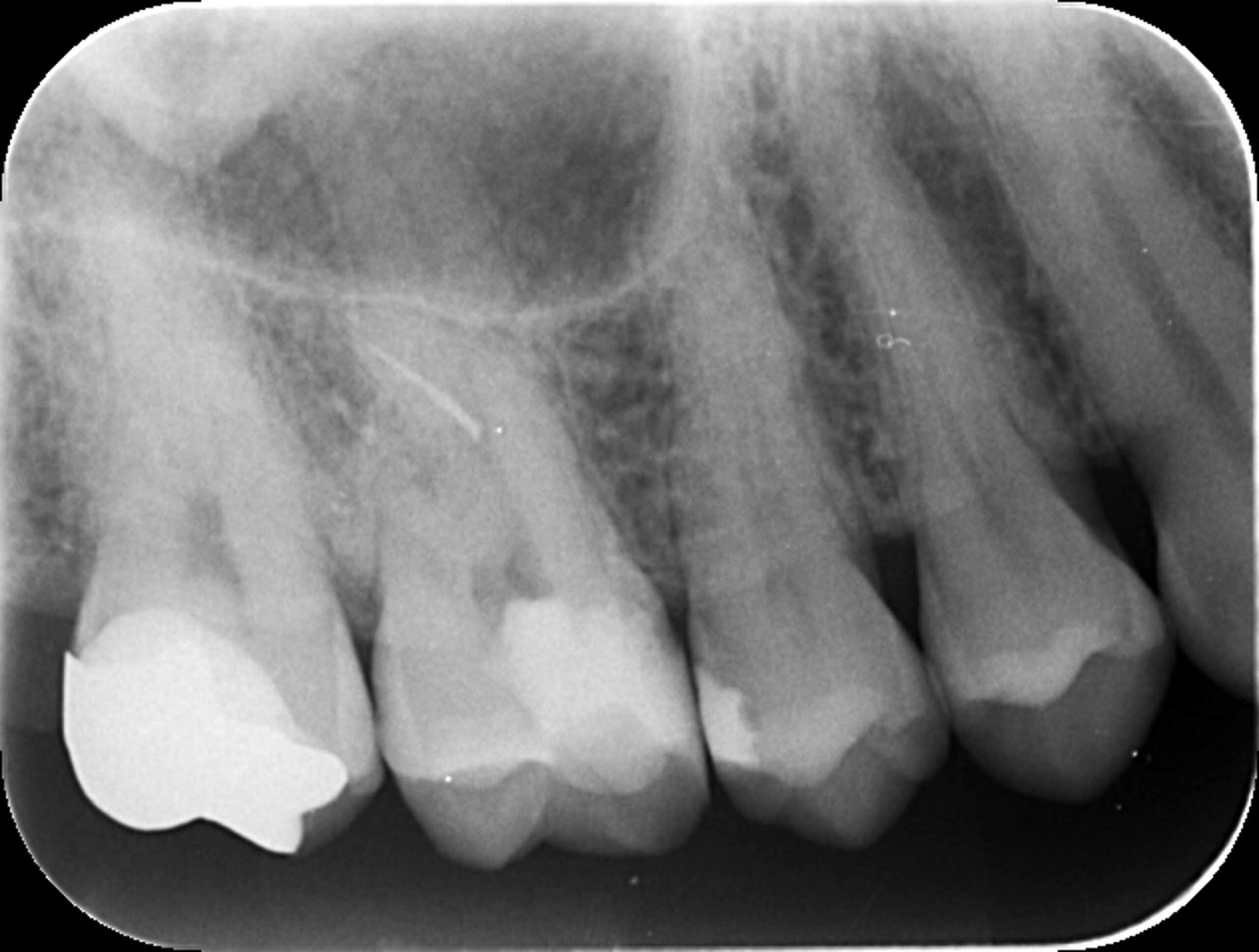
炎症を起こしてからかなり時間が経っているためか、神経が確認できない程に歯髄狭窄を起こしていました。 ラバーダム防湿とマイクロスコープを使用して丁寧に治療を行いました。 再根管治療のため、殺菌性があり歯を補強することのできる根管充填材料を使用しています。 |
症例3




| 項目 | 詳細 |
|---|---|
| 患者様データ | 50代 女性 |
| 来院時の主訴 | 「全て最善の方法で治して健康になりたい。」 |
| 医院の診断 | 虫歯の再発、慢性根尖性歯周炎、炎症による歯髄狭窄、歯根の湾曲、人為的破折ファイルの存在 |
| 通院期間 | 6か月 |
| 来院回数 | 12回 |
| 治療費 | 総額:620,000円(税抜) 【内訳】 精密感染根管治療80,000円(小臼歯)+100,000円(大臼歯)、ファイバーポストコア20,000円×2、セラミック治療120,000円×2+80,000円×2 |
| リスクと副作用 | ①根管治療歯は長期的には破折するリスク ②メインテナンスが必要 |
| ここがこだわりのポイント!☝ |
歯髄狭窄+歯根湾曲+破折したファイルの存在が複合した歯でした。 ラバーダム防湿とマイクロスコープを使用して丁寧に治療を行いました。 再根管治療のため、殺菌性があり歯を補強することのできる根管充填材料を使用しています。 |
症例4



| 項目 | 詳細 |
|---|---|
| 患者様データ | 40代 女性 |
| 来院時の主訴 | 「他院で治療後、器具が歯の中で折れてしまったと言われた。治療の続きからお願いしたい。」 |
| 医院の診断 | 歯根の湾曲、人為的破折ファイルの存在 |
| 通院期間 | 1ヶ月 |
| 来院回数 | 3回 |
| 治療費 | 総額:200,000円(税抜) 【内訳】 精密感染根管治療100,000円、ファイバーポストコア20,000円、ダイレクトボンディング治療80,000円 |
| リスクと副作用 | ①根管治療歯は長期的には破折するリスク ②メインテナンスが必要 |
| ここがこだわりのポイント!☝ |
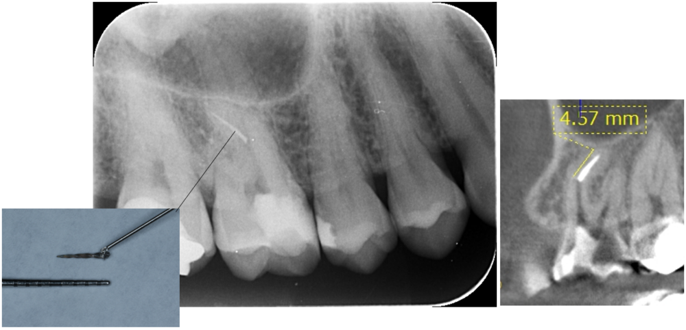
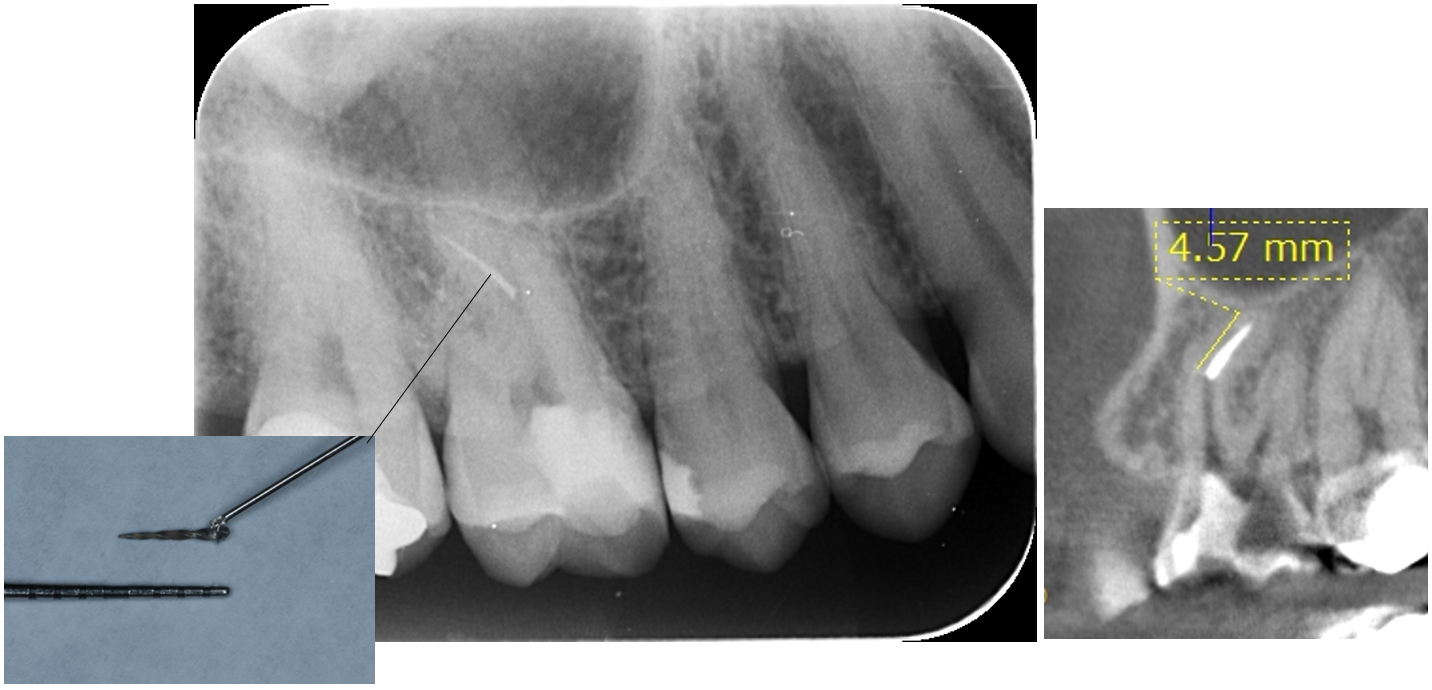
4.5mm以上の破折ファイルは除去しにくいと言われています。 今回は折れてしまった破折ファイルを事前にレントゲンでチェックした所4.57mmありました。破折ファイルはループと言われる特殊な器具を用いて短時間で除去することができました。 |
症例5
|
BEFORE |
AFTER |
|
BEFORE |
AFTER |
| 項目 | 詳細 |
|---|---|
| 患者様データ | 60代 女性 |
| 来院時の主訴 | 「鼻炎が治らないので耳鼻科に行ったら歯を治した方が良いと言われた。」 |
| 医院の診断 | 虫歯の再発、歯性上顎洞炎を併発した慢性根尖性歯周炎 |
| 通院期間 |
10ヶ月 |
| 来院回数 | 28回 |
| 治療費 | 総額:1,670,000円(税抜) 【内訳】 精密感染根管治療70,000円(前歯)×3+80,000円(小臼歯)×2+100,000円(大臼歯)×2、ファイバーポストコア20,000円×7、セラミック治療120,000円(臼歯)×4+160,000円(前歯)×3 |
| リスクと副作用 | ①根管治療歯は長期的には破折するリスク ②メインテナンスが必要 |
| ここがこだわりのポイント!☝ |
奥歯の虫歯が原因で蓄膿症になることがあります。患者様は昔から鼻炎があり耳鼻科通いでしたが、歯の治療により鼻炎が治りました。 |
症例6






| 項目 | 詳細 |
|---|---|
| 患者様データ | 50代 女性 |
| 来院時の主訴 | 「歯茎から出血する。口の中が全体的に痛い。」 |
| 医院の診断 | 虫歯の再発、重度の歯周病を併発した慢性根尖性歯周炎 |
| 通院期間 | 2年 |
| 来院回数 | 24回 |
| 治療費 | 総額:440,000円(税抜) 【内訳】 精密感染根管治療80,000円(小臼歯)+100,000円(大臼歯)、ファイバーポストコア20,000円×2、歯周組織再生療法220,000円 |
| リスクと副作用 |
①根管治療歯は長期的には破折するリスク |
| ここがこだわりのポイント!☝ |
一般的に歯周病と根尖病変の混合病変は非常にシビアな状態と言われています。この患者様の場合、根管治療と歯周病の再生療法を併用することにより、健全な状態に改善することができました。 |
















