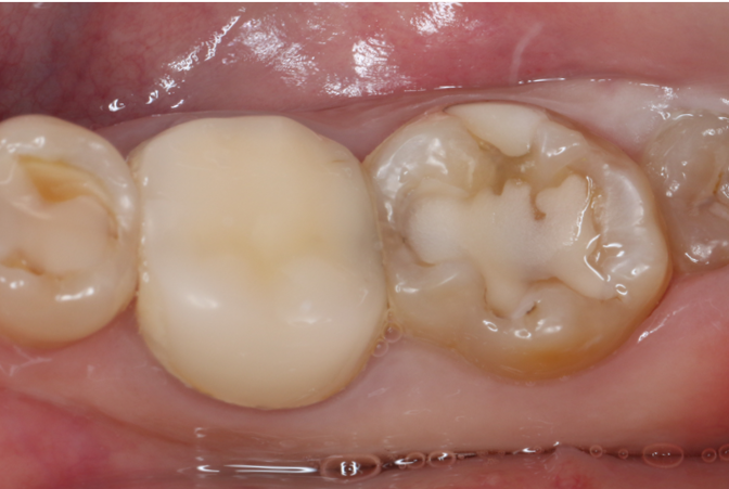
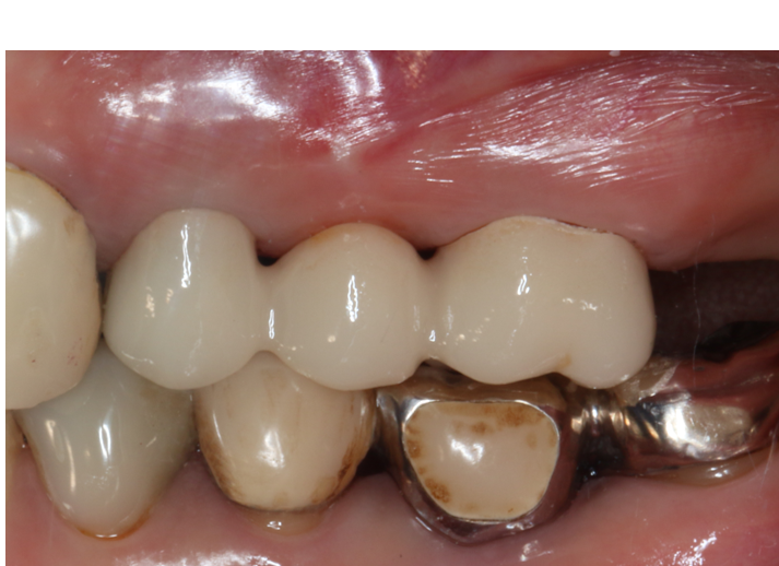
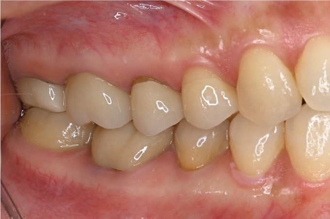
症例1




| 項目 | 詳細 |
|---|---|
| 患者様データ | 30代 女性 |
| 来院時の主訴 | 「右下の歯の治療後から違和感が続いている。」 |
| 医院の診断 | 虫歯の再発、慢性根尖性歯周炎、近心根パーフォレーション |
| 通院期間 | 6ヶ月 |
| 来院回数 | 8回(定期的なチェック含む) |
| 治療費 | 240,000円(税抜) 《内訳》 精密感染根管治療100,000円、ファイバーポストコア20,000円、セラミック治療120,000円 |
| リスクと副作用 | ①根管治療歯は長期的には破折するリスク ②メインテナンスが必要 |
| ココがこだわりのポイント☝ |
ラバーダム防湿とマイクロスコープを使用して丁寧に治療を行いました。 再根管治療のため、殺菌性があり歯を補強することのできる根管充填材料を使用しています。 |
症例2




| 項目 | 詳細 |
|---|---|
| 患者様データ | 50代 女性 |
| 来院時の主訴 | 「左上の歯の周辺から膿が出て臭う。」 |
| 医院の診断 | 虫歯の再発、慢性根尖性歯周炎 |
| 通院期間 | 6ヶ月 |
| 来院回数 | 10回 |
| 治療費 | 580,000円(税抜) 《内訳》 精密感染根管治療80,000円(小臼歯)+100,000円(大臼歯)、ファイバーポストコア20,000円×2、セラミックブリッジ360,000円 |
| リスクと副作用 | ①根管治療歯は長期的には破折するリスク ②メインテナンスが必要 |
| ココがこだわりのポイント☝ |
ラバーダム防湿とマイクロスコープを使用して丁寧に治療を行いました。 再根管治療のため、殺菌性があり歯を補強することのできる根管充填材料を使用しています。 |
症例3






| 項目 | 詳細 |
|---|---|
| 患者様データ | 40代 女性 |
| 来院時の主訴 | 「右上の奥歯を抜歯と言われてしまった。」 |
| 医院の診断 | 虫歯の再発、慢性根尖性歯周炎 |
| 通院期間 | 10ヶ月 |
| 来院回数 | 21回 |
| 治療費 | 1,140,000円(税抜) 《内訳》 精密感染根管治療80,000円(小臼歯)+100,000円(大臼歯)×3、ファイバーポストコア20,000円×4、セラミック治療120,000円×5+80,000円 |
| リスクと副作用 | ①根管治療歯は長期的には破折するリスク ②メインテナンスが必要 |
| ココがこだわりのポイント☝ |
ラバーダム防湿とマイクロスコープを使用して丁寧に治療を行いました。 再根管治療のため、殺菌性があり歯を補強することのできる根管充填材料を使用しています。 |
症例4


| 項目 | 詳細 |
|---|---|
| 患者様データ | 60代 女性 |
| 来院時の主訴 | 「残りの人生を健康的に噛めるようになりたい。」 |
| 医院の診断 |
虫歯の再発、歯周病を併発した慢性根尖性歯周炎 |
| 通院期間 | 1年間 |
| 来院回数 | 8回 |
| 治療費 | 480,000円(税抜) 《内訳》 精密感染根管治療100,000円、ファイバーポストコア20,000円、セラミック治療120,000円×3 |
| リスクと副作用 | ①根管治療歯は長期的には破折するリスク ②メインテナンスが必要 |
| ココがこだわりのポイント☝ |
ラバーダム防湿とマイクロスコープを使用して丁寧に治療を行いました。 再根管治療のため、殺菌性があり歯を補強することのできる根管充填材料を使用しています。 歯周病を併発していましたが、患者様の日々の歯磨きの努力により、改善することができました。 |
症例5


| 項目 | 詳細 |
|---|---|
| 患者様データ | 70代 男性 |
| 来院時の主訴 | 「右上の歯が腫れて食事中に痛い。」 |
| 医院の診断 |
虫歯の再発、慢性根尖性歯周炎 |
| 通院期間 | 4か月 |
| 来院回数 | 5回 |
| 治療費 | 240,000円(税抜) 《内訳》 精密感染根管治療100,000円、ファイバーポストコア20,000円、セラミック治療120,000円 |
| リスクと副作用 | ①根管治療歯は長期的には破折するリスク ②メインテナンスが必要 |
| ココがこだわりのポイント☝ |
ラバーダム防湿とマイクロスコープを使用して丁寧に治療を行いました。 再根管治療のため、殺菌性があり歯を補強することのできる根管充填材料を使用しています。 |
症例6


| 項目 | 詳細 |
|---|---|
| 患者様データ | 70代 女性 |
| 来院時の主訴 | 「右上の歯によくフロスが引っかかる。」 |
| 医院の診断 |
虫歯の再発、慢性根尖性歯周炎 |
| 通院期間 | 6か月 |
| 来院回数 | 15回 |
| 治療費 | 920,000円(税抜) 《内訳》 精密感染根管治療80,000円(小臼歯)×2+100,000円(大臼歯)×2、ファイバーポストコア20,000円×4、セラミック治療120,000円×4 |
| リスクと副作用 | ①根管治療歯は長期的には破折するリスク ②メインテナンスが必要 |
| ココがこだわりのポイント☝ |
ラバーダム防湿とマイクロスコープを使用して丁寧に治療を行いました。 再根管治療のため、殺菌性があり歯を補強することのできる根管充填材料を使用しています。 |
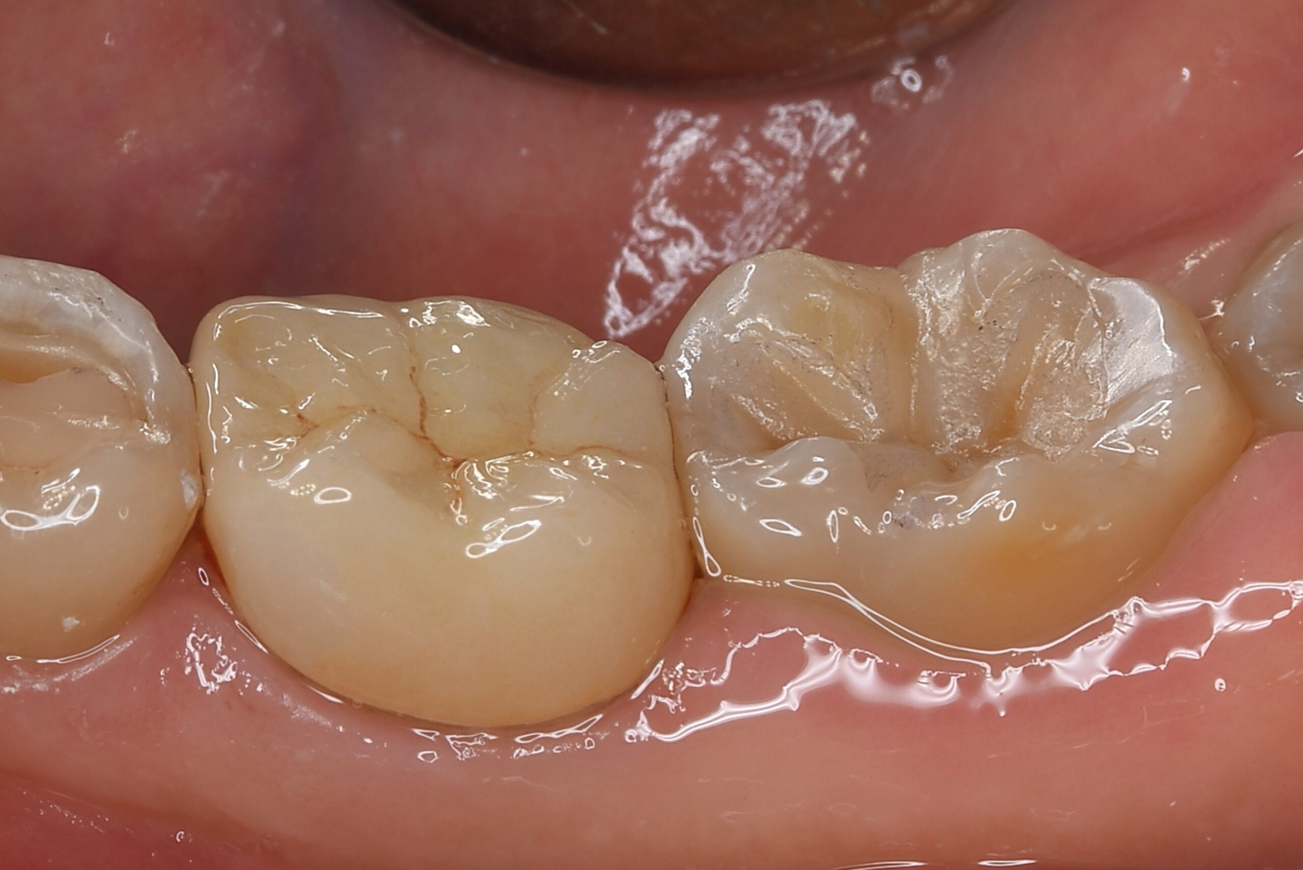
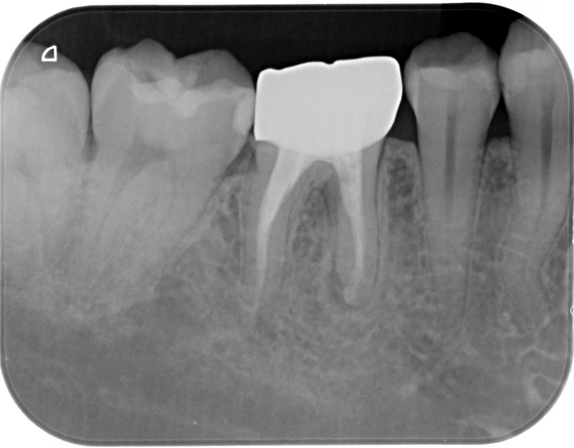
症例7


| 項目 | 詳細 |
|---|---|
| 患者様データ | 50代 男性 |
| 来院時の主訴 | 「右上の歯が噛むと少し痛い。」 |
| 医院の診断 |
虫歯の再発、未処置根管の存在 |
| 通院期間 | 4か月 |
| 来院回数 | 5回 |
| 治療費 | 220,000円(税抜) 《内訳》 精密感染根管治療80,000円、ファイバーポストコア20,000円、セラミック治療120,000円 |
| リスクと副作用 | ①根管治療歯は長期的には破折するリスク ②メインテナンスが必要 |
| ココがこだわりのポイント☝ |
上顎の小臼歯は1根か2根が通常ですが、この歯の場合なんと3根!それも途中で分岐しており4根管ありました。 これはかなりの確率で1%未満と思われます・・・術前のCT検査で発見されました。 そんな歯をラバーダム防湿とマイクロスコープを使用して丁寧に治療を行いました。 再根管治療のため、殺菌性があり歯を補強することのできる根管充填材料を使用しています。 |

