精密根管治療(初回根管治療)
神経をとる治療は1回目が肝心です!
理由は精密に治療を行えば成功率が90%以上と高いからです。
2回目以後の治療は60%程度の成功率。
成功の基準:治療後4〜5年以内に痛みがなく、レントゲン検査で根の病変が写らないこと
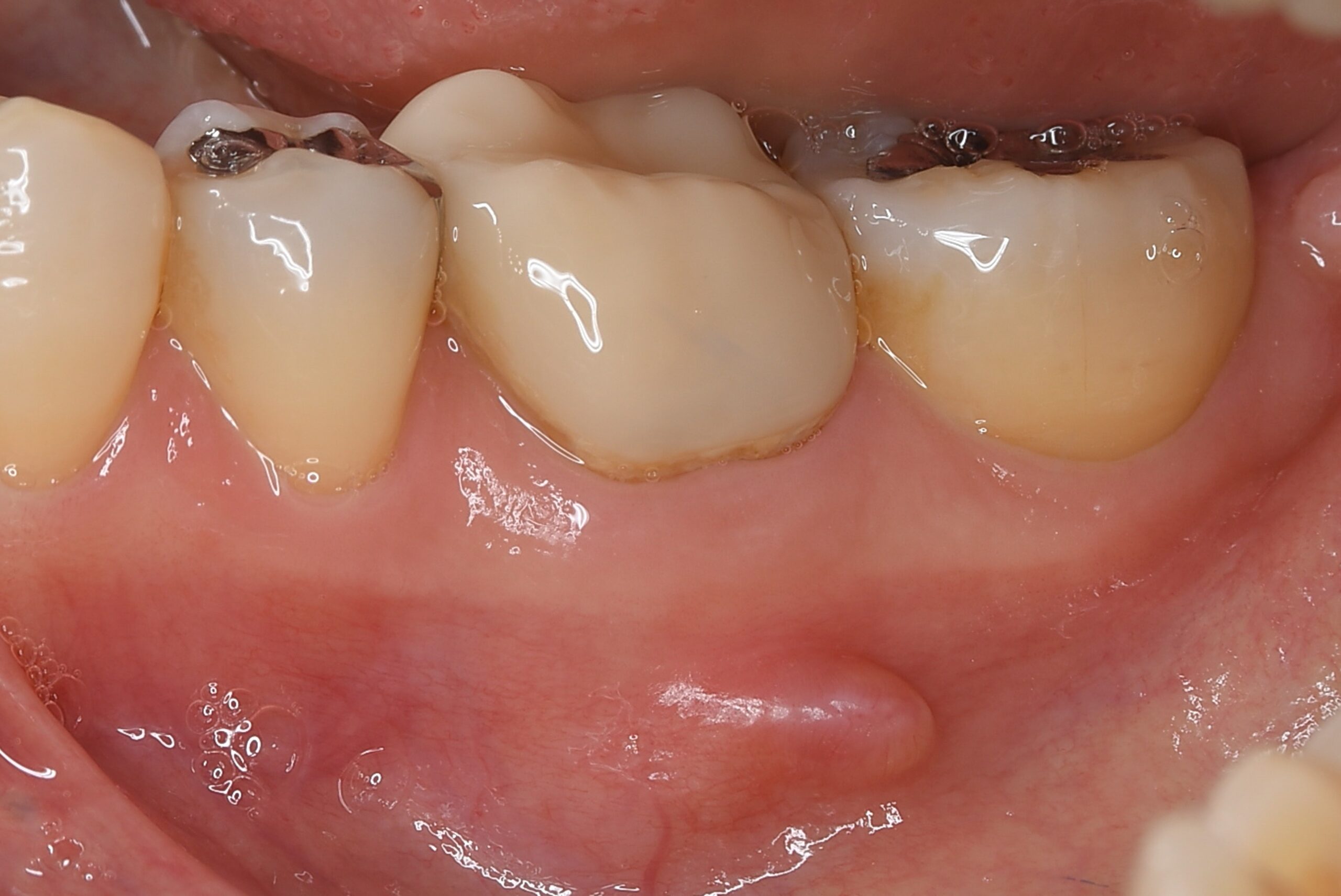
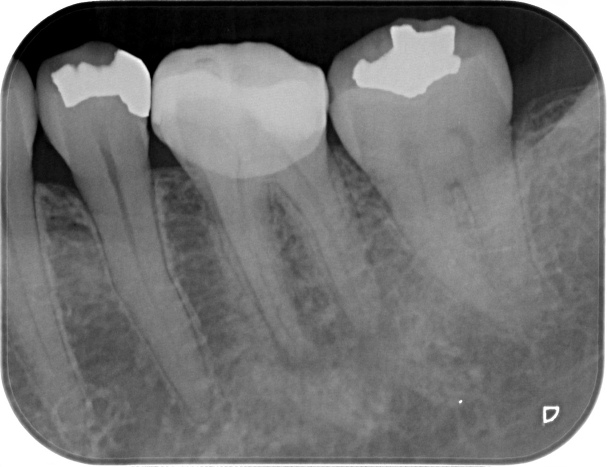
症例1


| 項目 | 詳細 |
|---|---|
| 患者様データ | 60代 女性 |
| 来院時の主訴 | 「下の前歯に違和感がある。」 |
| 医院の診断 | 慢性根尖性歯周炎 |
| 通院期間 | 3ヶ月 |
| 来院回数 | 2回(定期的なチェック含む) |
| 治療費 | 80,000円(税抜) 《内訳》 精密根管治療60,000円(前歯)、ファイバーポストコア+ダイレクトボンディング20,000円 |
| リスクと副作用 | ①根管治療歯は長期的には破折するリスク ②メインテナンスが必要 |
| ココがこだわりのポイント☝ |
ラバーダム防湿とマイクロスコープを使用して丁寧に治療を行いました。 |
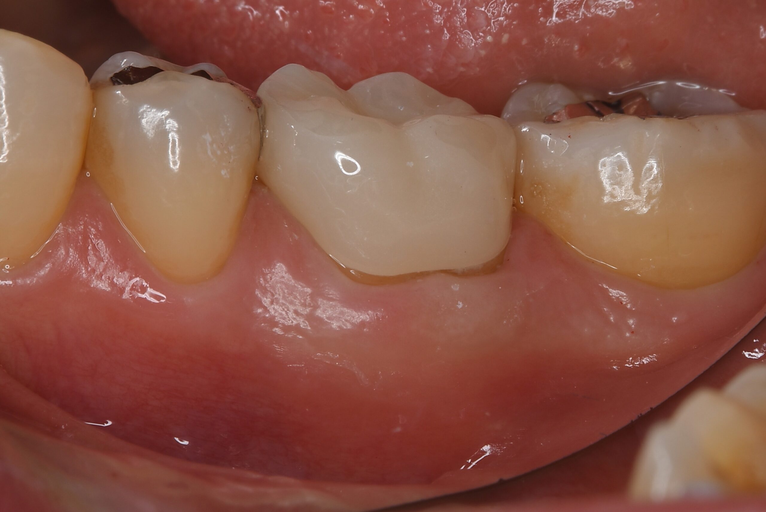
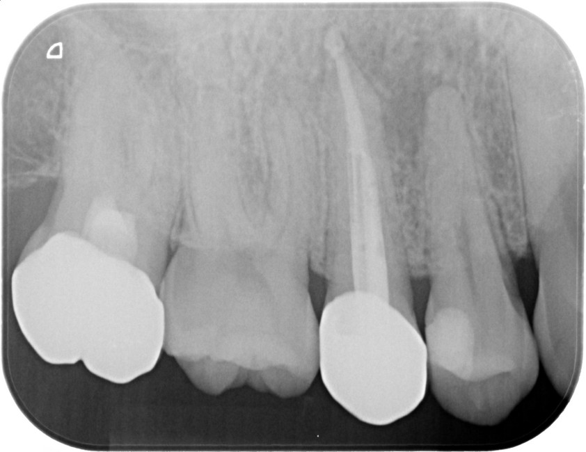
症例2


| 項目 | 詳細 |
|---|---|
| 患者様データ | 30代 女性 |
| 来院時の主訴 | 「上の歯茎が腫れてきた。痛い。」 |
| 医院の診断 | 虫歯の再発、急性化膿性根尖性歯周炎 |
| 通院期間 | 6ヶ月 |
| 来院回数 | 2回(定期的なチェック含む) |
| 治療費 | 320,000円(税抜) 《内訳》 精密根管治療60,000円(前歯)×2、ファイバーポストコア20,000円×2、ダイレクトボンディング80,000円×2 |
| リスクと副作用 | ①根管治療歯は長期的には破折するリスク ②メインテナンスが必要 |
| ココがこだわりのポイント☝ |
ラバーダム防湿とマイクロスコープを使用して丁寧に治療を行いました。 |
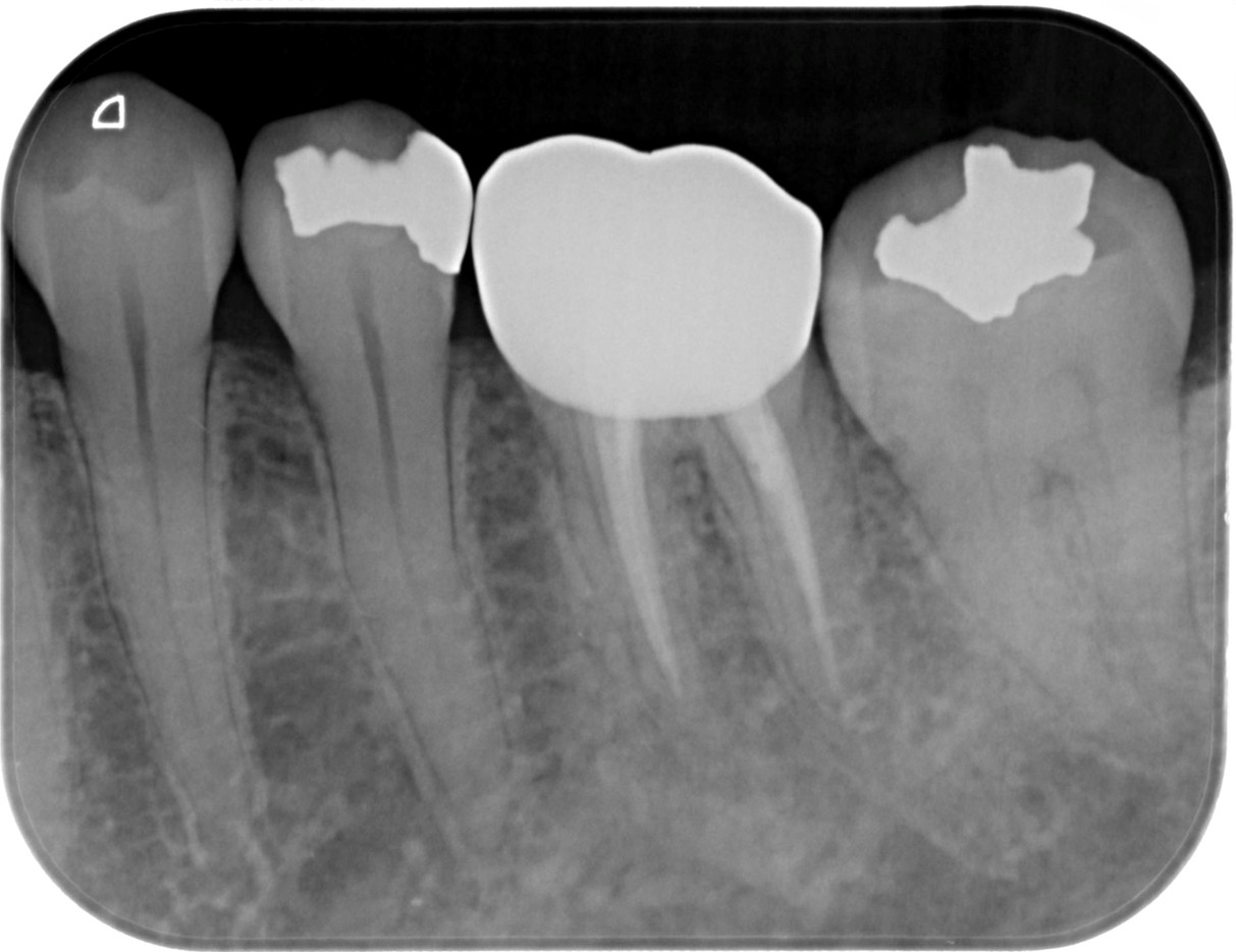
症例3




| 項目 | 詳細 |
|---|---|
| 患者様データ | 50代 女性 |
| 来院時の主訴 | 「左下の歯茎が腫れている。」 |
| 医院の診断 | 慢性根尖性歯周炎 |
| 通院期間 | 4ヶ月 |
| 来院回数 | 6回(定期的なチェック含む) |
| 治療費 | 220,000円(税抜) 《内訳》 精密根管治療80,000円、ファイバーポストコア20,000円、セラミック治療120,000円 |
| リスクと副作用 | ①根管治療歯は長期的には破折するリスク ②メインテナンスが必要 |
| ココがこだわりのポイント☝ |
ラバーダム防湿とマイクロスコープを使用して丁寧に治療を行いました。 |
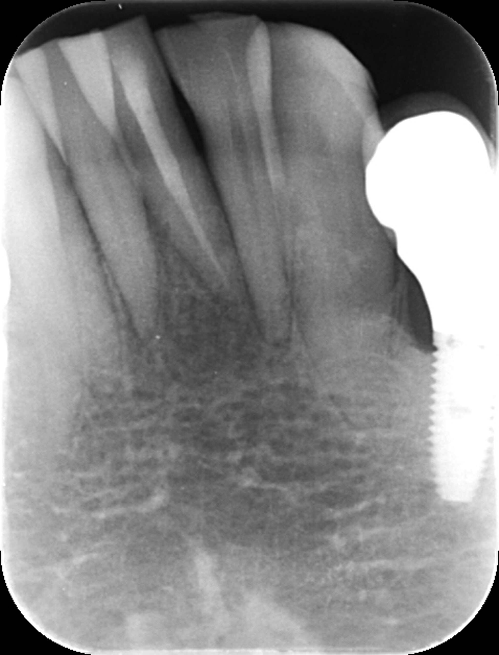
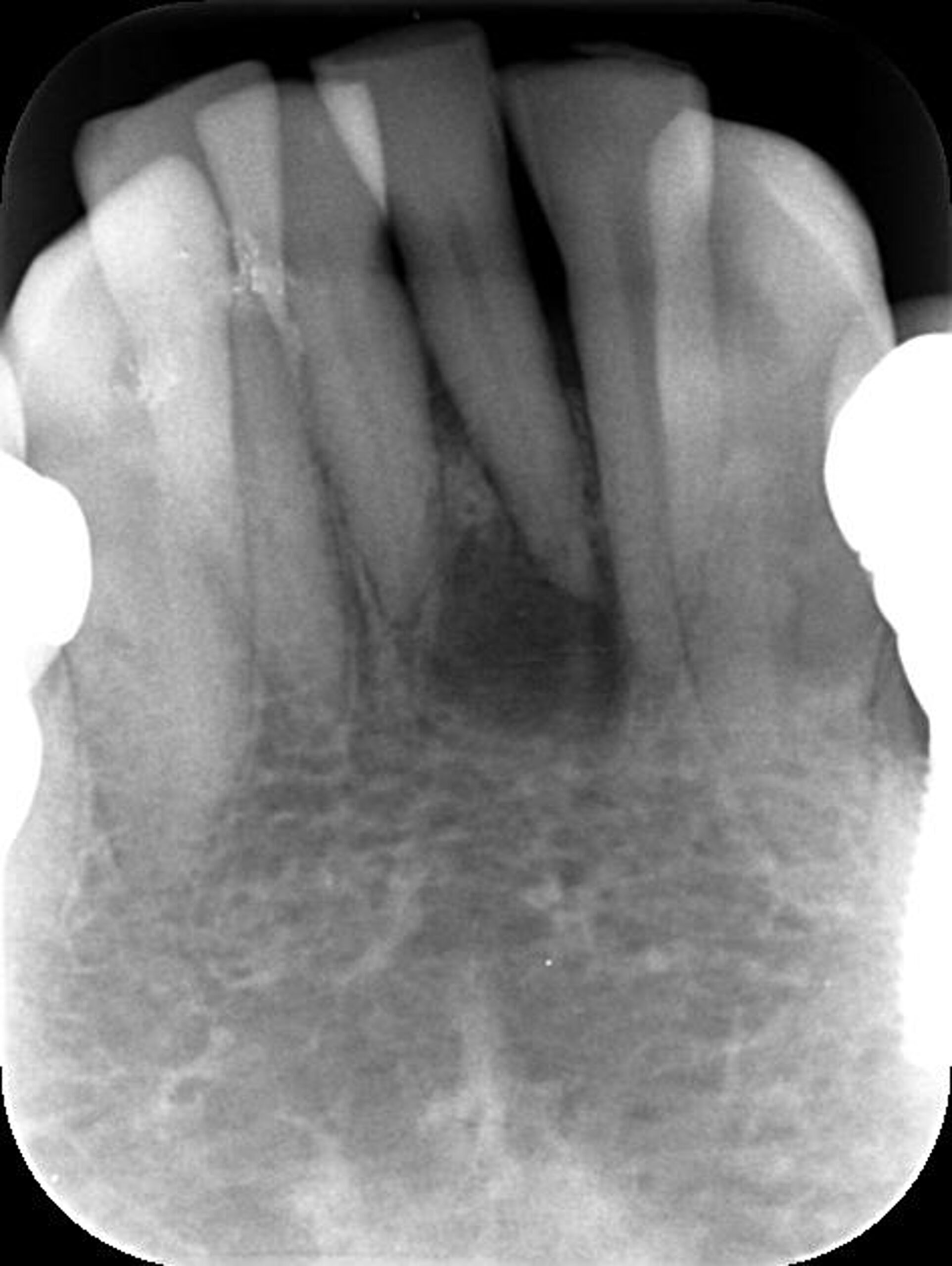
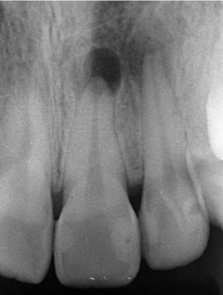
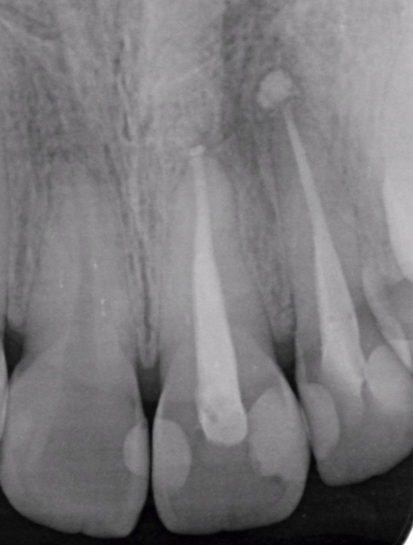
症例4


治療経過
①![]() 術前 |
②![]() 根管治療後3か月経過 |
③![]() 根管治療後1年経過時 |
④![]() 根管治療後2年経過時 |
神経の治療後、①→②→③→④と時間をかけて徐々に治ってくることがあります。
神経の治療は細菌感染を除去する治療です。細菌がいなくなれば、無駄に神経をとらなくても良い歯もあるかもしれません。
| 項目 | 詳細 |
|---|---|
| 患者様データ | 30代 男性 |
| 来院時の主訴 | 「他院で右上の歯3本とも神経をとる必要があると言われた。なんとか神経を残したい。」 |
| 術前検査結果 |
右上第一小臼歯:打診痛(+)・歯髄の生活反応有り 右上第二小臼歯:打診痛(+)・歯髄の生活反応無し 右上第二大臼歯:打診痛(ー)・歯髄の生活反応有り |
| 医院の診断 |
右上第一小臼歯:健全→術前に神経が残せる可能性のある歯と診断 右上第二小臼歯:慢性根尖性歯周炎→術前に神経が残せない歯と診断 右上第二大臼歯:無症候性可逆性歯髄炎→術前に神経が残せる可能性のある歯と診断し、術中に神経を残せると診断 |
| 通院期間 | 2年半 |
| 来院回数 | 10回(定期的なチェック含む) |
| 治療費 | 350,000円(税抜) 《内訳》 右上第二小臼歯:精密根管治療70,000円、ファイバーポストコア20,000円、セラミック治療120,000円 右上第二大臼歯:歯髄温存療法55,000円、セラミック治療85,000円 |
| リスクと副作用 | ①根管治療歯は長期的には破折するリスク ②メインテナンスが必要 |
| ココがこだわりのポイント☝ |
レントゲン検査や患者様の訴える症状だけでは神経を残せるかどうかは断定できません。 この方もレントゲン写真上では神経を残せないように見える歯でしたが、治療前に検査を入念に行うことで残せる可能性を見出すことができました。 同じ悩みを抱えた方は是非お気軽にご相談下さい。 |





