TOPへTOPへ

入れ歯の症例(総義歯)

Before imageAfter image
Before imageAfter image
Before imageAfter image
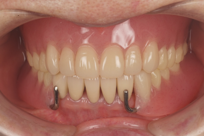
項目 詳細
患者様データ 82歳 女性
来院時の主訴 「入れ歯が外れないようにしたい。」
医院の診断 義歯不適合による咀嚼不良・口腔機能低下
通院期間 4か月
来院回数 6回
治療費 750,000円(税抜)
内訳 上顎金属床総義歯350,000円、下顎金属床義歯400,000円
リスクと副作用 定期的なメインテナンスが必要
ここがこだわりのポイント!☝ 食事中に外れることがない義歯になり、患者様に大変満足していただきました。
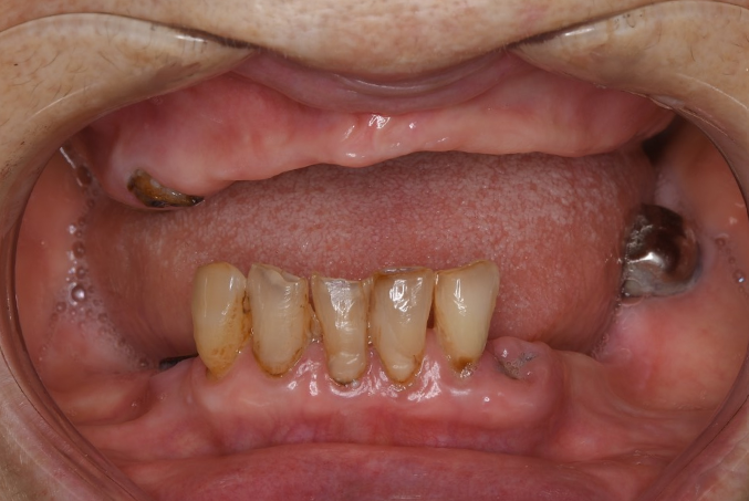
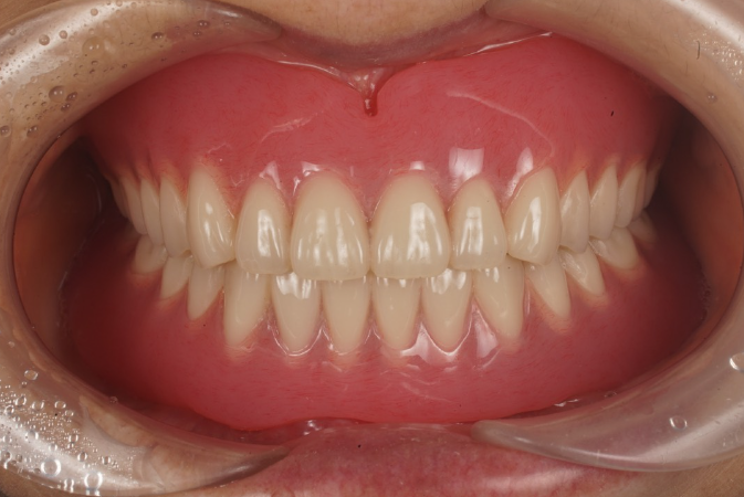
Before imageAfter image
項目 詳細
患者様データ 89歳 女性
来院時の主訴 「入れ歯を入れると痛くて食事が取れない。」
医院の診断 義歯不適合による咀嚼不良・口腔機能低下
通院期間 6か月
来院回数 12回
治療費 1,250,000円(税抜)
内訳 上顎:総義歯350,000円
下顎:セラミッククラウン120,000円×5、部分金属床義歯300,000円
リスクと副作用 定期的なメインテナンスが必要
ここがこだわりのポイント!☝ 食事中に外れることがない義歯になり、患者様に大変満足していただきました。