外科的歯内療法(歯根端手術)の症例
症例1
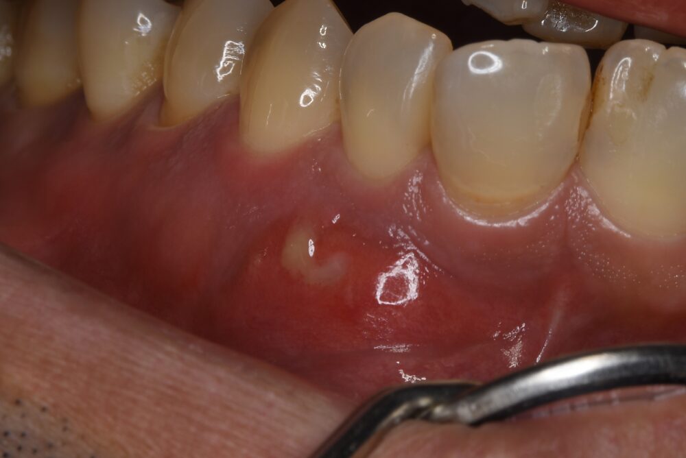
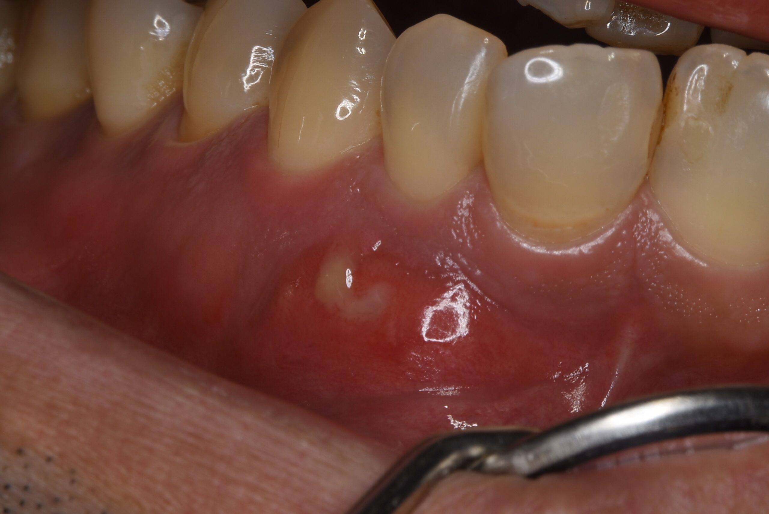
術前

歯肉は腫脹し排膿していた。
| 項目 | 詳細 |
|---|---|
| 患者様データ | 40代 男性 |
| 来院時の主訴 | 「歯茎が腫れてきた。」 |
| 医院の診断 | 慢性根尖性歯周炎 |
| 通院期間 | 1年間 |
| 来院回数 | 6回 |
| 治療費 | 総額:210,000円(税抜) 【内訳】 精密根管治療60,000円+歯根端切除手術60,000円(当院で根管治療を行なっているため差額分のみのご請求)、ファイバーポストコア20,000円、ダイレクトボンディング治療70,000円 |
| リスクと副作用 | ①根管治療歯は長期的には破折するリスク ②長期的なメインテナンスが必要 |
| ここがこだわりのポイント!☝ | MTAを使用した歯根端切除を行うことで、抜歯を回避することができました。 |
症例2

| 項目 | 詳細 |
|---|---|
| 患者様データ | 70代 男性 |
| 来院時の主訴 | 「右上の歯が噛むと痛い。」 |
| 医院の診断 | 近心頬側根の歯根破折 |
| 通院期間 | 3か月 |
| 来院回数 | 4回 |
| 治療費 | 総額:歯根切除法180,000円(税抜) |
| リスクと副作用 | ①根管治療歯は長期的には破折するリスク ②長期的なメインテナンスが必要 |
| ここがこだわりのポイント!☝ |
右上の奥歯には3つの根っこがあり、そのうちの2つは健康で1つだけが破折していました。破折している歯根のみを切除し抜歯することで、残った歯を保存することができました。 |
症例3
| 項目 | 詳細 |
|---|---|
| 患者様データ | 80代 女性 |
| 来院時の主訴 | 「右上の歯が腫れた。」 |
| 医院の診断 | 慢性根尖性歯周炎 |
| 通院期間 | 6か月 |
| 来院回数 | 9回 |
| 治療費 | 総額:650,000円(税抜) 【内訳】 精密根管治療70,000円(小臼歯)+80,000円(大臼歯)+歯根端切除手術(大臼歯)100,000円(当院で根管治療を行なっているため差額分のみのご請求)、ファイバーポストコア20,000円×2、セラミックブリッジ治療360,000円 |
| リスクと副作用 | ①根管治療歯は長期的には破折するリスク ②長期的なメインテナンスが必要 |
| ここがこだわりのポイント!☝ |
患者様はインプラント治療や入れ歯治療に抵抗感が強く、自分の歯で食事をとりたいという希望がありました。MTAを使用した歯根端切除を行うことで、抜歯を回避することができました。 |




